| Пневмонии нет.
 Не обсуждалась
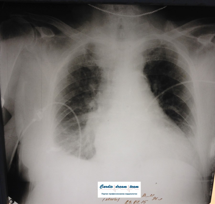
 Дата 23-ИЮЛ-15
 ОПИСАНИЕ:
 Проведена рентгенография органов грудной клетки в прямой проекции, положение лежа, условия ПИТ
 Легочные поля:
 неравномерно прозрачны за счет сосудистого обогащения, в базальных отделах с обеих сторон, отмечается сгущение легочного рисунка, за счет гиповентиляции, в плевральных полостях жидкость
 Легочный рисунок:
 Изменен по смешанному типу: обогащен за счет сосудистого компонента, деформирован за счет склероза.
 Корни:
 бесструктурны, расширены за счет сосудистого компонента, обогащены
 Синусы:
 определяется наличие жидкости по линии 5 ребра
 Сердце:
 широко лежит на диафрагме отмечается расширение границ сердечной тени влево, вправо экг-электроды.
 ЗАКЛЮЧЕНИЕ:
 Рентген-признаки 2-х стороннего гидроторакса с гиповентиляцией базальных сегментов.. Признаки застоя по МКК 2 степени (умеренно выраженный). Пневмосклероз. Р-признаки гипертрофии левого желудочка сердца.
 Склероз аорты.
 
 
 
						
							| Вложения: |  
								|  IMG_4339--.jpg [ 717.06 KiB | Просмотров: 27439 ]
 
 |  _________________
 Я вас всех люблю, но порядок должен быть!
 |