cardiodreamteam.com

Портал профессионалов кардиологии
Текущее время: 18 апр 2026, 16:29

Часовой пояс: UTC + 6 часов




Начать новую тему Ответить на тему  [ Сообщений: 3 ] 
Автор Сообщение
 Заголовок сообщения: Скорость рестеноза 2 месяца
СообщениеДобавлено: 11 окт 2016, 16:02 
Не в сети
Аватар пользователя

Зарегистрирован: 04 окт 2006, 02:08
Сообщений: 1082
Откуда: UA
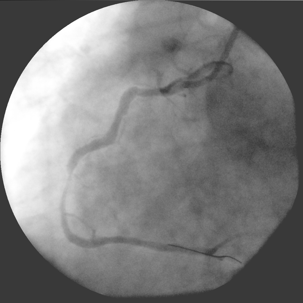
Пациент стентирован ПКА ургентно, ОИМ ЗСЛЖ


Вложения:
Комментарий к файлу: Стеноз ПКА
IM-0001-0020.jpg
IM-0001-0020.jpg [ 216.86 KiB | Просмотров: 51857 ]

_________________
Сегодняшняя медицина выглядит так: Пациент, - человек мешающий врачу работать с документацией.
Ошыбаются все, одни чаще другие реже...
Вернуться наверх
 Профиль  
 
 Заголовок сообщения: Re: Скорость рестеноза 2 месяца
СообщениеДобавлено: 11 окт 2016, 16:07 
Не в сети
Аватар пользователя

Зарегистрирован: 04 окт 2006, 02:08
Сообщений: 1082
Откуда: UA
На снимке Вы видите уже рестеноз. Пациент обратился в клинику спустя два месяца от момента ургентной установки BMS-стента. Ухудшение состояния отмечал уже спустя месяц, маялся по поликлиникам пока не попал на повторную КВГ.

_________________
Сегодняшняя медицина выглядит так: Пациент, - человек мешающий врачу работать с документацией.
Ошыбаются все, одни чаще другие реже...


Вернуться наверх
 Профиль  
 
 Заголовок сообщения: Re: Скорость рестеноза 2 месяца
СообщениеДобавлено: 11 окт 2016, 16:09 
Не в сети
Аватар пользователя

Зарегистрирован: 04 окт 2006, 02:08
Сообщений: 1082
Откуда: UA
Позиционирование и стент в стент. Готово!


Вложения:
IM-0001-0021.jpg
IM-0001-0021.jpg [ 262.08 KiB | Просмотров: 51856 ]
IM-0001-0058.jpg
IM-0001-0058.jpg [ 227.83 KiB | Просмотров: 51856 ]

_________________
Сегодняшняя медицина выглядит так: Пациент, - человек мешающий врачу работать с документацией.
Ошыбаются все, одни чаще другие реже...
Вернуться наверх
 Профиль  
 
Показать сообщения за:  Сортировать по:  
Начать новую тему Ответить на тему  [ Сообщений: 3 ] 

Часовой пояс: UTC + 6 часов


Кто сейчас на форуме

Сейчас этот форум просматривают: нет зарегистрированных пользователей и гости: 2


Вы не можете начинать темы
Вы не можете отвечать на сообщения
Вы не можете редактировать свои сообщения
Вы не можете удалять свои сообщения
Вы не можете добавлять вложения

Найти:
Перейти:  
cron
Создано на основе phpBB® Forum Software © phpBB Group
Русская поддержка phpBB