cardiodreamteam.com

Портал профессионалов кардиологии
Текущее время: 25 ноя 2025, 18:47

Часовой пояс: UTC + 6 часов




Начать новую тему Ответить на тему  [ Сообщений: 8 ] 
Автор Сообщение
 Заголовок сообщения: Образец №10. Жарким летом 2012-го
СообщениеДобавлено: 06 окт 2012, 17:37 
Не в сети
Аватар пользователя

Зарегистрирован: 06 ноя 2008, 00:01
Сообщений: 4456
Откуда: Сургут
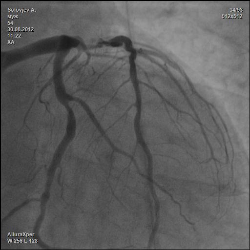
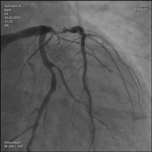
М. 54г. Ел пил все подряд. Лечили подагру, когда прижмет. Курил сигаретки. И вот тебе сюрприз.
Ваш диагноз? Как лечить?


Вложения:
КАГ.jpg
КАГ.jpg [ 26.53 KiB | Просмотров: 27907 ]
frame_lst_0004.jpg
frame_lst_0004.jpg [ 27.28 KiB | Просмотров: 27907 ]
Вернуться наверх
 Профиль  
 
 Заголовок сообщения: Re: Образец №10. Жарким летом 2012-го
СообщениеДобавлено: 06 окт 2012, 19:18 
Не в сети
Аватар пользователя

Зарегистрирован: 30 окт 2005, 11:33
Сообщений: 542
Конечно, нужно бы еще ангиограмм
АКШ


Вернуться наверх
 Профиль  
 
 Заголовок сообщения: Re: Образец №10. Жарким летом 2012-го
СообщениеДобавлено: 06 окт 2012, 20:10 
Не в сети
Аватар пользователя

Зарегистрирован: 06 ноя 2008, 00:01
Сообщений: 4456
Откуда: Сургут
Игорь писал(а):
Конечно, нужно бы еще ангиограмм

Мне кажется Вы уже знаете что будет на ЭКГ.


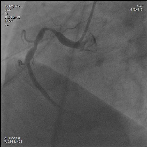
Вложения:
0029.jpg
0029.jpg [ 27.43 KiB | Просмотров: 27898 ]
0033.jpg
0033.jpg [ 27.48 KiB | Просмотров: 27898 ]
25.jpg
25.jpg [ 26.16 KiB | Просмотров: 27898 ]
43.jpg
43.jpg [ 27.45 KiB | Просмотров: 27898 ]
Вернуться наверх
 Профиль  
 
 Заголовок сообщения: Re: Образец №10. Жарким летом 2012-го
СообщениеДобавлено: 07 окт 2012, 10:14 
Не в сети
Аватар пользователя

Зарегистрирован: 30 окт 2005, 11:33
Сообщений: 542
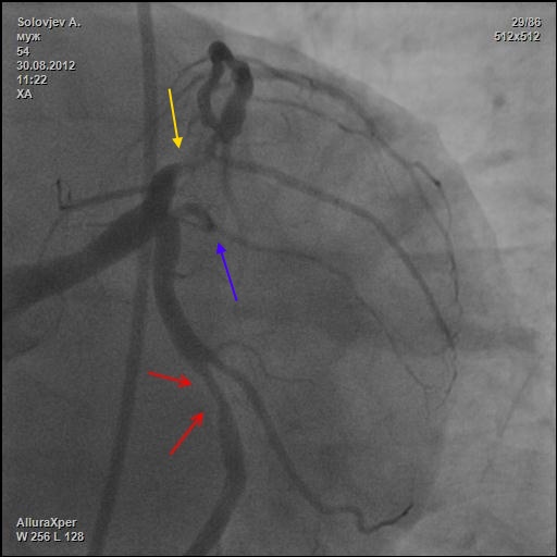
субокклюзия передней


Вернуться наверх
 Профиль  
 
 Заголовок сообщения: Re: Образец №10. Жарким летом 2012-го
СообщениеДобавлено: 07 окт 2012, 15:37 
Не в сети
Аватар пользователя

Зарегистрирован: 06 ноя 2008, 00:01
Сообщений: 4456
Откуда: Сургут
Игорь писал(а):
субокклюзия передней


Расценена как окклюзия (желтая стрелка). А другие?


Вложения:
28.jpg
28.jpg [ 49.44 KiB | Просмотров: 27881 ]
frame_lst_0004.jpg
frame_lst_0004.jpg [ 51.64 KiB | Просмотров: 27881 ]
Вернуться наверх
 Профиль  
 
 Заголовок сообщения: Re: Образец №10. Жарким летом 2012-го
СообщениеДобавлено: 07 окт 2012, 15:41 
Не в сети
Аватар пользователя

Зарегистрирован: 06 ноя 2008, 00:01
Сообщений: 4456
Откуда: Сургут
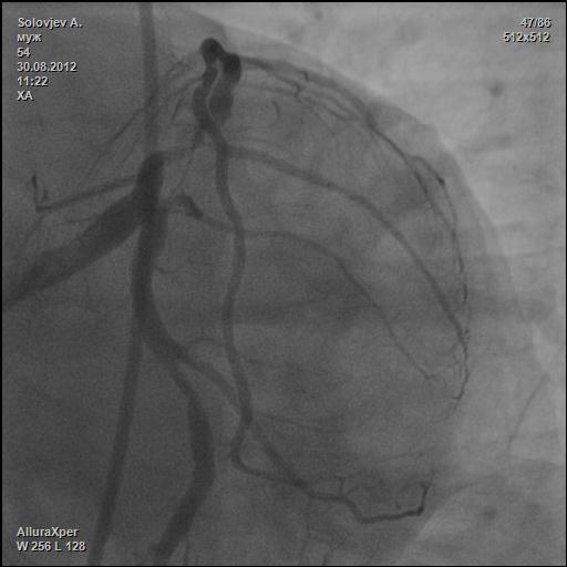
В проекции «Spider» - ЛКА и окклюзия ПНА смотрится понятнее (для меня естессно).
А белая стрелка показывает окклюзию диагональной ветки?


Вложения:
паук 26.jpg
паук 26.jpg [ 51.23 KiB | Просмотров: 27881 ]
Вернуться наверх
 Профиль  
 
 Заголовок сообщения: Re: Образец №10. Жарким летом 2012-го
СообщениеДобавлено: 07 окт 2012, 22:14 
Не в сети
Аватар пользователя

Зарегистрирован: 30 окт 2005, 11:33
Сообщений: 542
вы хотите полного заключения?


Вернуться наверх
 Профиль  
 
 Заголовок сообщения: Re: Образец №10. Жарким летом 2012-го
СообщениеДобавлено: 07 окт 2012, 22:16 
Не в сети
Аватар пользователя

Зарегистрирован: 06 ноя 2008, 00:01
Сообщений: 4456
Откуда: Сургут
я хочу разобраться.


Больному было выполнено 2 АКШ и 1 МКШ.


Вернуться наверх
 Профиль  
 
Показать сообщения за:  Сортировать по:  
Начать новую тему Ответить на тему  [ Сообщений: 8 ] 

Часовой пояс: UTC + 6 часов


Кто сейчас на форуме

Сейчас этот форум просматривают: нет зарегистрированных пользователей и гости: 4


Вы не можете начинать темы
Вы не можете отвечать на сообщения
Вы не можете редактировать свои сообщения
Вы не можете удалять свои сообщения
Вы не можете добавлять вложения

Найти:
Перейти:  
cron
Создано на основе phpBB® Forum Software © phpBB Group
Русская поддержка phpBB