cardiodreamteam.com

Портал профессионалов кардиологии
Текущее время: 25 ноя 2025, 16:27

Часовой пояс: UTC + 6 часов




Начать новую тему Ответить на тему  [ Сообщений: 3 ] 
Автор Сообщение
 Заголовок сообщения: Содержимое двух ЖП.
СообщениеДобавлено: 26 сен 2012, 10:44 
Не в сети
Корифей
Корифей
Аватар пользователя

Зарегистрирован: 16 сен 2007, 23:44
Сообщений: 2847
Откуда: Новосибирск.Клиника ГУ НИИ физиологии СО РАМН
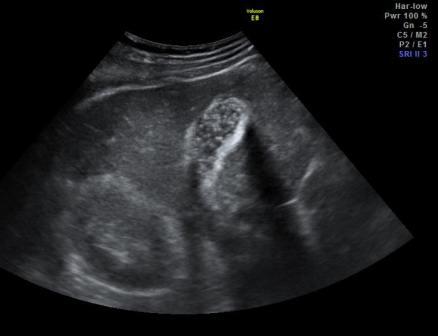
Уважаемые коллеги.
Вот два пациента с обострением холецистита. Смотрите сами...


Вложения:
raznoe_8.jpg
raznoe_8.jpg [ 13.66 KiB | Просмотров: 54071 ]
G_4.jpg
G_4.jpg [ 12.98 KiB | Просмотров: 54071 ]

_________________
zoom,zoom,zoom.
Вернуться наверх
 Профиль  
 
 Заголовок сообщения: Re: Содержимое двух ЖП.
СообщениеДобавлено: 28 сен 2012, 22:42 
Не в сети

Зарегистрирован: 04 сен 2012, 15:51
Сообщений: 23
Откуда: г. Ковров
эмпиемка?


Вернуться наверх
 Профиль  
 
 Заголовок сообщения: Re: Содержимое двух ЖП.
СообщениеДобавлено: 01 окт 2012, 16:18 
Не в сети
Корифей
Корифей
Аватар пользователя

Зарегистрирован: 16 сен 2007, 23:44
Сообщений: 2847
Откуда: Новосибирск.Клиника ГУ НИИ физиологии СО РАМН
В первом случае клиника более менее была. Во втором всё тихо. Чем всё завершилось не знаю. Но в первом случае на "эмпиемку" похоже.

_________________
zoom,zoom,zoom.


Вернуться наверх
 Профиль  
 
Показать сообщения за:  Сортировать по:  
Начать новую тему Ответить на тему  [ Сообщений: 3 ] 

Часовой пояс: UTC + 6 часов


Кто сейчас на форуме

Сейчас этот форум просматривают: нет зарегистрированных пользователей и гости: 6


Вы не можете начинать темы
Вы не можете отвечать на сообщения
Вы не можете редактировать свои сообщения
Вы не можете удалять свои сообщения
Вы не можете добавлять вложения

Найти:
Перейти:  
cron
Создано на основе phpBB® Forum Software © phpBB Group
Русская поддержка phpBB