cardiodreamteam.com

Портал профессионалов кардиологии
Текущее время: 25 ноя 2025, 19:45

Часовой пояс: UTC + 6 часов




Начать новую тему Ответить на тему  [ Сообщений: 8 ] 
Автор Сообщение
 Заголовок сообщения: Такие вот почки...
СообщениеДобавлено: 04 сен 2012, 21:23 
Не в сети

Зарегистрирован: 04 сен 2012, 15:51
Сообщений: 23
Откуда: г. Ковров
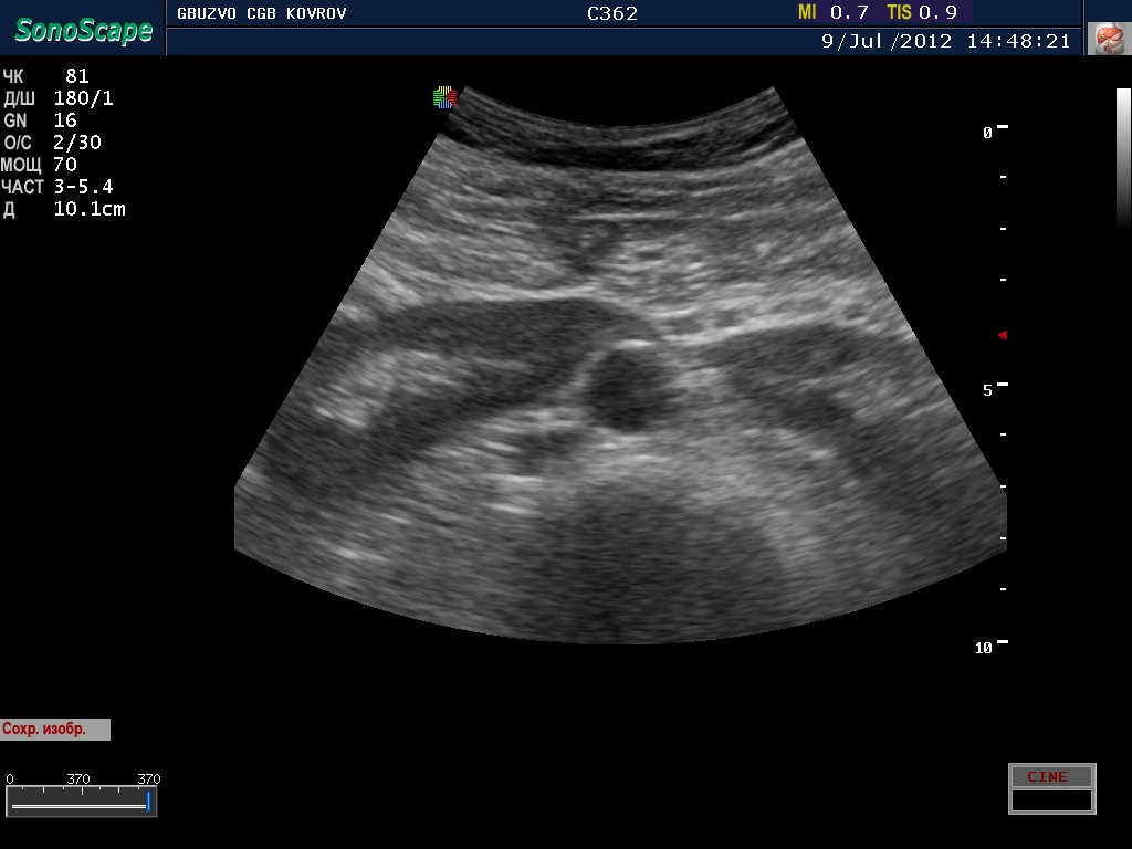
Добавлю с разрешения коллег, свое наблюдение...


Вложения:
jul092012145056.jpg
jul092012145056.jpg [ 224.25 KiB | Просмотров: 26045 ]
jul092012144822.jpg
jul092012144822.jpg [ 195.69 KiB | Просмотров: 26045 ]
Вернуться наверх
 Профиль  
 
 Заголовок сообщения: Re: Такие вот почки...
СообщениеДобавлено: 12 сен 2012, 11:21 
Не в сети
Корифей
Корифей
Аватар пользователя

Зарегистрирован: 16 сен 2007, 23:44
Сообщений: 2847
Откуда: Новосибирск.Клиника ГУ НИИ физиологии СО РАМН
Вот нифига себе! Это ребёнок?

_________________
zoom,zoom,zoom.


Вернуться наверх
 Профиль  
 
 Заголовок сообщения: Re: Такие вот почки...
СообщениеДобавлено: 12 сен 2012, 21:13 
Не в сети

Зарегистрирован: 04 сен 2012, 15:51
Сообщений: 23
Откуда: г. Ковров
:D Почему ребенок, дяденька 45 лет! а что вас смутило?


Вернуться наверх
 Профиль  
 
 Заголовок сообщения: Re: Такие вот почки...
СообщениеДобавлено: 13 сен 2012, 06:35 
Не в сети
Корифей
Корифей
Аватар пользователя

Зарегистрирован: 16 сен 2007, 23:44
Сообщений: 2847
Откуда: Новосибирск.Клиника ГУ НИИ физиологии СО РАМН
Расположение. Сгрудились у аорты...

_________________
zoom,zoom,zoom.


Вернуться наверх
 Профиль  
 
 Заголовок сообщения: Re: Такие вот почки...
СообщениеДобавлено: 13 сен 2012, 21:41 
Не в сети

Зарегистрирован: 04 сен 2012, 15:51
Сообщений: 23
Откуда: г. Ковров
расположение аномальное - подковообразная почка 8-) четко виден перешеек!


Вернуться наверх
 Профиль  
 
 Заголовок сообщения: Re: Такие вот почки...
СообщениеДобавлено: 14 сен 2012, 07:24 
Не в сети
Корифей
Корифей
Аватар пользователя

Зарегистрирован: 16 сен 2007, 23:44
Сообщений: 2847
Откуда: Новосибирск.Клиника ГУ НИИ физиологии СО РАМН
В своё время не разъехались. А жить то ему это мешает? Наверное нет.

_________________
zoom,zoom,zoom.


Вернуться наверх
 Профиль  
 
 Заголовок сообщения: Re: Такие вот почки...
СообщениеДобавлено: 14 сен 2012, 22:20 
Не в сети

Зарегистрирован: 04 сен 2012, 15:51
Сообщений: 23
Откуда: г. Ковров
живет..хлеб жует...нет не мешает.


Вернуться наверх
 Профиль  
 
 Заголовок сообщения: Re: Такие вот почки...
СообщениеДобавлено: 17 сен 2012, 06:57 
Не в сети
Корифей
Корифей
Аватар пользователя

Зарегистрирован: 16 сен 2007, 23:44
Сообщений: 2847
Откуда: Новосибирск.Клиника ГУ НИИ физиологии СО РАМН
Вот и слава Богу!.

_________________
zoom,zoom,zoom.


Вернуться наверх
 Профиль  
 
Показать сообщения за:  Сортировать по:  
Начать новую тему Ответить на тему  [ Сообщений: 8 ] 

Часовой пояс: UTC + 6 часов


Кто сейчас на форуме

Сейчас этот форум просматривают: нет зарегистрированных пользователей и гости: 1


Вы не можете начинать темы
Вы не можете отвечать на сообщения
Вы не можете редактировать свои сообщения
Вы не можете удалять свои сообщения
Вы не можете добавлять вложения

Найти:
Перейти:  
cron
Создано на основе phpBB® Forum Software © phpBB Group
Русская поддержка phpBB