cardiodreamteam.com

Портал профессионалов кардиологии
Текущее время: 17 дек 2025, 12:36

Часовой пояс: UTC + 6 часов




Начать новую тему Ответить на тему  [ Сообщений: 23 ]  На страницу Пред.  1, 2
Автор Сообщение
 Заголовок сообщения: Re: Пневмония
СообщениеДобавлено: 23 сен 2017, 21:31 
Не в сети
Site Admin
Аватар пользователя

Зарегистрирован: 24 мар 2005, 22:44
Сообщений: 26571
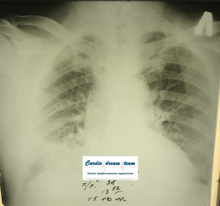
Начальная динамика пневмонии


Вложения:
11.png
11.png [ 420.39 KiB | Просмотров: 23155 ]
12.png
12.png [ 417.32 KiB | Просмотров: 23155 ]
13.png
13.png [ 8.74 KiB | Просмотров: 23155 ]

_________________
Я вас всех люблю, но порядок должен быть!
Вернуться наверх
 Профиль  
 
 Заголовок сообщения: Re: Пневмония
СообщениеДобавлено: 06 окт 2017, 13:46 
Не в сети
Site Admin
Аватар пользователя

Зарегистрирован: 24 мар 2005, 22:44
Сообщений: 26571
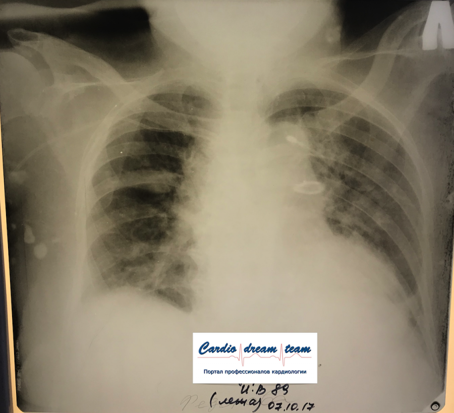
Двухсторонняя полисегментарная


Вложения:
IMG_5197 2.png
IMG_5197 2.png [ 773.14 KiB | Просмотров: 23138 ]

_________________
Я вас всех люблю, но порядок должен быть!
Вернуться наверх
 Профиль  
 
 Заголовок сообщения: Re: Пневмония
СообщениеДобавлено: 12 окт 2017, 20:05 
Не в сети
Site Admin
Аватар пользователя

Зарегистрирован: 24 мар 2005, 22:44
Сообщений: 26571
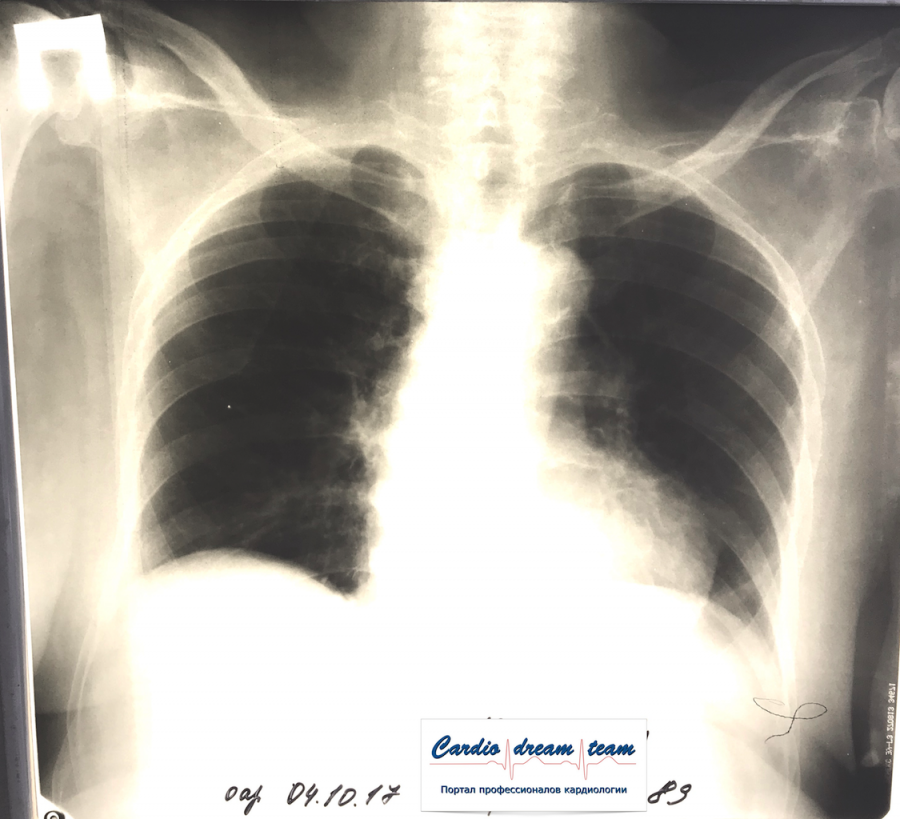
Правосторонняя пневмония


Вложения:
1.png
1.png [ 852.13 KiB | Просмотров: 23128 ]

_________________
Я вас всех люблю, но порядок должен быть!
Вернуться наверх
 Профиль  
 
 Заголовок сообщения: Re: Пневмония
СообщениеДобавлено: 12 окт 2017, 20:07 
Не в сети
Site Admin
Аватар пользователя

Зарегистрирован: 24 мар 2005, 22:44
Сообщений: 26571
Двухсторонняя пневмония


Вложения:
IMG_0886.png
IMG_0886.png [ 759.15 KiB | Просмотров: 23128 ]
IMG_7045.png
IMG_7045.png [ 782.71 KiB | Просмотров: 23128 ]
IMG_7003.JPG
IMG_7003.JPG [ 121.75 KiB | Просмотров: 23128 ]

_________________
Я вас всех люблю, но порядок должен быть!
Вернуться наверх
 Профиль  
 
 Заголовок сообщения: Re: Пневмония
СообщениеДобавлено: 02 ноя 2017, 23:27 
Не в сети
Site Admin
Аватар пользователя

Зарегистрирован: 24 мар 2005, 22:44
Сообщений: 26571
Справа S9,10


Вложения:
IMG_3151.jpg
IMG_3151.jpg [ 80.05 KiB | Просмотров: 23091 ]

_________________
Я вас всех люблю, но порядок должен быть!
Вернуться наверх
 Профиль  
 
 Заголовок сообщения: Re: Пневмония
СообщениеДобавлено: 07 янв 2018, 23:51 
Не в сети
Site Admin
Аватар пользователя

Зарегистрирован: 24 мар 2005, 22:44
Сообщений: 26571
Правосторонняя

Обсуждалось здесь https://vk.com/club84409679?w=wall-84409679_6639%2Fall


Вложения:
IMG_5535.png
IMG_5535.png [ 883.25 KiB | Просмотров: 22829 ]

_________________
Я вас всех люблю, но порядок должен быть!
Вернуться наверх
 Профиль  
 
 Заголовок сообщения: Re: Пневмония
СообщениеДобавлено: 07 июл 2018, 13:46 
Не в сети
Site Admin
Аватар пользователя

Зарегистрирован: 24 мар 2005, 22:44
Сообщений: 26571
Обсуждалось здесь https://vk.com/club84409679?w=wall-84409679_8248%2Fall


Вложения:
c8ca7cfc-8920-4c5b-85d0-8aa63a068eee.jpg
c8ca7cfc-8920-4c5b-85d0-8aa63a068eee.jpg [ 29.85 KiB | Просмотров: 21510 ]

_________________
Я вас всех люблю, но порядок должен быть!
Вернуться наверх
 Профиль  
 
 Заголовок сообщения: Re: Пневмония
СообщениеДобавлено: 28 июл 2018, 15:35 
Не в сети
Site Admin
Аватар пользователя

Зарегистрирован: 24 мар 2005, 22:44
Сообщений: 26571
Обсуждалось здесь https://vk.com/club84409679?w=wall-84409679_8797%2Fall


Вложения:
IMG_6772.jpg
IMG_6772.jpg [ 172.18 KiB | Просмотров: 21362 ]
IMG_6360.JPG
IMG_6360.JPG [ 178.69 KiB | Просмотров: 21362 ]

_________________
Я вас всех люблю, но порядок должен быть!
Вернуться наверх
 Профиль  
 
Показать сообщения за:  Сортировать по:  
Начать новую тему Ответить на тему  [ Сообщений: 23 ]  На страницу Пред.  1, 2

Часовой пояс: UTC + 6 часов


Кто сейчас на форуме

Сейчас этот форум просматривают: нет зарегистрированных пользователей и гости: 11


Вы не можете начинать темы
Вы не можете отвечать на сообщения
Вы не можете редактировать свои сообщения
Вы не можете удалять свои сообщения
Вы не можете добавлять вложения

Найти:
Перейти:  
cron
Создано на основе phpBB® Forum Software © phpBB Group
Русская поддержка phpBB