cardiodreamteam.com

Портал профессионалов кардиологии
Текущее время: 12 мар 2026, 23:52

Часовой пояс: UTC + 6 часов




Начать новую тему Ответить на тему  [ Сообщений: 3 ] 
Автор Сообщение
 Заголовок сообщения: Эксудативный плеврит
СообщениеДобавлено: 04 дек 2015, 11:19 
Не в сети
Site Admin
Аватар пользователя

Зарегистрирован: 24 мар 2005, 22:44
Сообщений: 26581
M, 71.

Не обсуждалось


Вложения:
FullSizeRender.jpg
FullSizeRender.jpg [ 895.37 KiB | Просмотров: 17595 ]
FullSizeRender %281%29.jpg
FullSizeRender %281%29.jpg [ 933.86 KiB | Просмотров: 17595 ]

_________________
Я вас всех люблю, но порядок должен быть!
Вернуться наверх
 Профиль  
 
 Заголовок сообщения: Re: Эксудативный плеврит
СообщениеДобавлено: 22 июн 2017, 14:35 
Не в сети
Site Admin
Аватар пользователя

Зарегистрирован: 24 мар 2005, 22:44
Сообщений: 26581
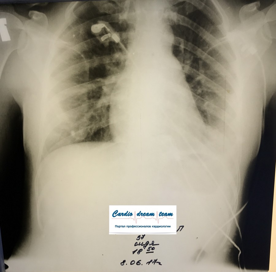
ТЭЛА. Есть увеличение правых отделов сердца. Давность около недели поэтому уже инфаркт пневмония слева с экссудативным плевритом, который виден очень хорошо.


Вложения:
IMG_0931.JPG
IMG_0931.JPG [ 90.74 KiB | Просмотров: 17226 ]

_________________
Я вас всех люблю, но порядок должен быть!
Вернуться наверх
 Профиль  
 
 Заголовок сообщения: Re: Эксудативный плеврит
СообщениеДобавлено: 28 июл 2018, 15:38 
Не в сети
Site Admin
Аватар пользователя

Зарегистрирован: 24 мар 2005, 22:44
Сообщений: 26581
Осумкованный плеврит

Обсуждалось здесь https://vk.com/club84409679?w=wall-84409679_8836%2Fall


Вложения:
IMG_4626%C2%A0— копия.jpg
IMG_4626%C2%A0— копия.jpg [ 186.57 KiB | Просмотров: 16402 ]

_________________
Я вас всех люблю, но порядок должен быть!
Вернуться наверх
 Профиль  
 
Показать сообщения за:  Сортировать по:  
Начать новую тему Ответить на тему  [ Сообщений: 3 ] 

Часовой пояс: UTC + 6 часов


Кто сейчас на форуме

Сейчас этот форум просматривают: нет зарегистрированных пользователей и гости: 1


Вы не можете начинать темы
Вы не можете отвечать на сообщения
Вы не можете редактировать свои сообщения
Вы не можете удалять свои сообщения
Вы не можете добавлять вложения

Найти:
Перейти:  
cron
Создано на основе phpBB® Forum Software © phpBB Group
Русская поддержка phpBB