cardiodreamteam.com

Портал профессионалов кардиологии
Текущее время: 24 дек 2025, 00:51

Часовой пояс: UTC + 6 часов




Начать новую тему Ответить на тему  [ Сообщений: 23 ]  На страницу 1, 2  След.
Автор Сообщение
 Заголовок сообщения: Пневмония
СообщениеДобавлено: 30 окт 2015, 23:01 
Не в сети
Site Admin
Аватар пользователя

Зарегистрирован: 24 мар 2005, 22:44
Сообщений: 26571
Пневмония

Обсуждалось здесь viewtopic.php?f=24&t=860


Вложения:
42768279_3_1339959.jpg
42768279_3_1339959.jpg [ 37.64 KiB | Просмотров: 50451 ]

_________________
Я вас всех люблю, но порядок должен быть!
Вернуться наверх
 Профиль  
 
 Заголовок сообщения: Re: Пневмония
СообщениеДобавлено: 30 окт 2015, 23:15 
Не в сети
Site Admin
Аватар пользователя

Зарегистрирован: 24 мар 2005, 22:44
Сообщений: 26571
полисегментарная пневмония слева.

Обсуждалось здесь viewtopic.php?f=24&t=916


Вложения:
42805324_3_1342362.jpg
42805324_3_1342362.jpg [ 263.54 KiB | Просмотров: 50449 ]

_________________
Я вас всех люблю, но порядок должен быть!
Вернуться наверх
 Профиль  
 
 Заголовок сообщения: Re: Пневмония
СообщениеДобавлено: 30 окт 2015, 23:43 
Не в сети
Site Admin
Аватар пользователя

Зарегистрирован: 24 мар 2005, 22:44
Сообщений: 26571
правосторонняя среднедолевая пневмония. Между снимками два дня.

Обсуждалось здесь viewtopic.php?f=24&t=1856


Вложения:
42864663_3_1346646.jpg
42864663_3_1346646.jpg [ 310.43 KiB | Просмотров: 50448 ]
42864681_3_1346647.jpg
42864681_3_1346647.jpg [ 48.79 KiB | Просмотров: 50448 ]

_________________
Я вас всех люблю, но порядок должен быть!
Вернуться наверх
 Профиль  
 
 Заголовок сообщения: Re: Пневмония
СообщениеДобавлено: 31 окт 2015, 00:18 
Не в сети
Site Admin
Аватар пользователя

Зарегистрирован: 24 мар 2005, 22:44
Сообщений: 26571
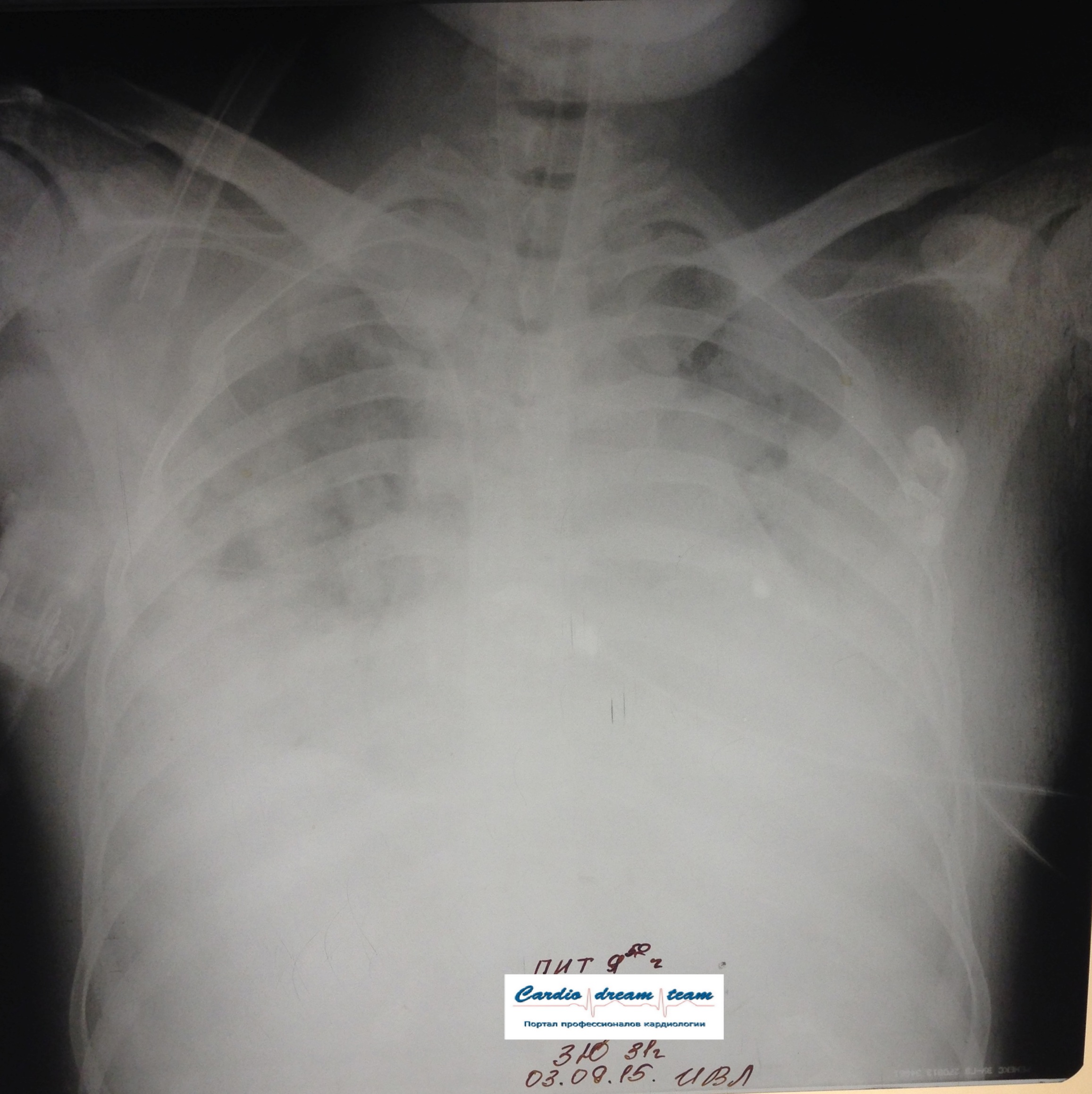
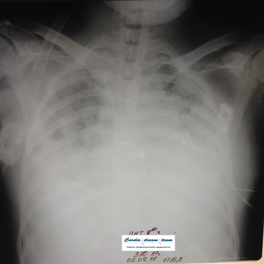
деструктивная почти тотальная пневмония.

Обсуждали здесь viewtopic.php?f=24&t=2586


Вложения:
43021445_3_1357502.jpg
43021445_3_1357502.jpg [ 56.63 KiB | Просмотров: 50447 ]

_________________
Я вас всех люблю, но порядок должен быть!
Вернуться наверх
 Профиль  
 
 Заголовок сообщения: Re: Пневмония
СообщениеДобавлено: 04 дек 2015, 12:51 
Не в сети
Site Admin
Аватар пользователя

Зарегистрирован: 24 мар 2005, 22:44
Сообщений: 26571
Динамика пневмонии у мужчины 67 лет с миеломной болезнью


Вложения:
1-.jpg
1-.jpg [ 1.24 MiB | Просмотров: 50446 ]
2-.png
2-.png [ 6.42 MiB | Просмотров: 50446 ]

_________________
Я вас всех люблю, но порядок должен быть!
Вернуться наверх
 Профиль  
 
 Заголовок сообщения: Re: Пневмония
СообщениеДобавлено: 04 дек 2015, 12:58 
Не в сети
Site Admin
Аватар пользователя

Зарегистрирован: 24 мар 2005, 22:44
Сообщений: 26571
Возникновение и динамика вентилятор - ассоциированной пневмонии.


Вложения:
1-.jpg
1-.jpg [ 713.01 KiB | Просмотров: 50445 ]
2-.jpg
2-.jpg [ 759.1 KiB | Просмотров: 50445 ]
3-.jpg
3-.jpg [ 754.54 KiB | Просмотров: 50445 ]

_________________
Я вас всех люблю, но порядок должен быть!
Вернуться наверх
 Профиль  
 
 Заголовок сообщения: Re: Пневмония
СообщениеДобавлено: 26 дек 2015, 00:15 
Не в сети
Site Admin
Аватар пользователя

Зарегистрирован: 24 мар 2005, 22:44
Сообщений: 26571
Правосторонняя пневмония

Не обсуждалась


Вложения:
IMG_5214-.jpg
IMG_5214-.jpg [ 713.83 KiB | Просмотров: 50444 ]
IMG_5218-.jpg
IMG_5218-.jpg [ 883.1 KiB | Просмотров: 50444 ]

_________________
Я вас всех люблю, но порядок должен быть!
Вернуться наверх
 Профиль  
 
 Заголовок сообщения: Re: Пневмония
СообщениеДобавлено: 08 янв 2016, 15:56 
Не в сети
Site Admin
Аватар пользователя

Зарегистрирован: 24 мар 2005, 22:44
Сообщений: 26571
Пневмония справа
Изображение

Обсуждалась здесь viewtopic.php?f=24&t=3994

_________________
Я вас всех люблю, но порядок должен быть!


Вернуться наверх
 Профиль  
 
 Заголовок сообщения: Re: Пневмония
СообщениеДобавлено: 12 окт 2016, 17:46 
Не в сети
Site Admin
Аватар пользователя

Зарегистрирован: 24 мар 2005, 22:44
Сообщений: 26571
Среднедолевая пневмония. Слева легкого нет.

Обсуждалось в Госпитале Ослабенных Сердец


Вложения:
IMG_7560-.jpg
IMG_7560-.jpg [ 62.54 KiB | Просмотров: 50183 ]

_________________
Я вас всех люблю, но порядок должен быть!
Вернуться наверх
 Профиль  
 
 Заголовок сообщения: Re: Пневмония
СообщениеДобавлено: 02 фев 2017, 19:48 
Не в сети
Site Admin
Аватар пользователя

Зарегистрирован: 24 мар 2005, 22:44
Сообщений: 26571
Долевая пневмония справа

Обсуждалось в Госпитале Ослабленных Сердец


Вложения:
123.png
123.png [ 966.79 KiB | Просмотров: 49953 ]

_________________
Я вас всех люблю, но порядок должен быть!
Вернуться наверх
 Профиль  
 
 Заголовок сообщения: Re: Пневмония
СообщениеДобавлено: 09 мар 2017, 23:25 
Не в сети
Site Admin
Аватар пользователя

Зарегистрирован: 24 мар 2005, 22:44
Сообщений: 26571
Пневмония слева

Обсуждалось в Госпитале Ослабленных Сердец


Вложения:
12.png
12.png [ 482.45 KiB | Просмотров: 49853 ]

_________________
Я вас всех люблю, но порядок должен быть!
Вернуться наверх
 Профиль  
 
 Заголовок сообщения: Re: Пневмония
СообщениеДобавлено: 18 апр 2017, 14:26 
Не в сети
Site Admin
Аватар пользователя

Зарегистрирован: 24 мар 2005, 22:44
Сообщений: 26571
М 52.
На цифровых рентгенограммах органов грудной клетки в прямой и правой боковой проекциях определяются следующие изменения: в проекции сегментов S8, S9 справа на фоне массивных плевро-костальных и плевро-диафрагмальных спаек определяются отдельные участки консолидации легочной паренхимы по типу инфильтрации. Легочный рисунок усилен, деформирован диффузно. Корни малоструктурны, не расширены, тяжисты. Синусы слева свободный, справа запаян.Тень сердца не расширена. КТИ-0,47 Дуга аорты склерозирована.

Заключение: Р - признаки правосторонней, нижнедолевой, бисегментарной (S8-9) пневмонии на фоне массивных фиброзных изменений.

Обсуждалось в Госпитале Ослабленных Сердец


Вложения:
1.png
1.png [ 416.42 KiB | Просмотров: 49726 ]
2.png
2.png [ 265.33 KiB | Просмотров: 49726 ]

_________________
Я вас всех люблю, но порядок должен быть!
Вернуться наверх
 Профиль  
 
 Заголовок сообщения: Re: Пневмония
СообщениеДобавлено: 22 июн 2017, 14:34 
Не в сети
Site Admin
Аватар пользователя

Зарегистрирован: 24 мар 2005, 22:44
Сообщений: 26571
На обзорной цифровой рентгенограмме органов грудной клетки в прямой проекции справа в нижних отделах отмечается снижение прозрачности без четких контуров, слабой и средней интенсивнсоти, за счет инфильтративных изменений. Слева в нижних отделах так же нельзя исключить наличие инфильтративных изменений. Легочный рисунок усилен в зоне инфильтрации. Корни структура снижена, справа инфильтрирован, не расширены. Синусы свободные. Тень средостения без особенностей. Границы сердца не расширены. Аорта не изменена.
Заключение: Р-признаки правосторонней полисегментарной пневмонии. Рекомендовано Р-контроль после лечения.


Вложения:
12.png
12.png [ 439.19 KiB | Просмотров: 49510 ]

_________________
Я вас всех люблю, но порядок должен быть!
Вернуться наверх
 Профиль  
 
 Заголовок сообщения: Re: Пневмония
СообщениеДобавлено: 14 июл 2017, 19:06 
Не в сети
Site Admin
Аватар пользователя

Зарегистрирован: 24 мар 2005, 22:44
Сообщений: 26571
Изображение
Изображение

Обсуждалось в Госпитале Ослабленных Сердец

_________________
Я вас всех люблю, но порядок должен быть!


Вернуться наверх
 Профиль  
 
 Заголовок сообщения: Re: Пневмония
СообщениеДобавлено: 06 сен 2017, 11:53 
Не в сети
Site Admin
Аватар пользователя

Зарегистрирован: 24 мар 2005, 22:44
Сообщений: 26571
Легочные поля неравномерно прозрачные, справа в верхнем и среднем легочном поле определяется снижение прозрачности, средней интенсивности, без четких границ и признаками уменьшения обьёма в/доли. Легочный рисунок усилен и деформирован в прикорневых зонах и базальных отделах. Корни малоструктурны, фиброзно деформированы. Синусы прослеживаются. Сердце границы сердца расширены за СКЛ, дуги сглажены. Аорта склерозирована. Релаксация правого купола диафрагмы.

Заключение: Р-признаки правосторонней в/долевой полисегментарной пневмонии. Пневмосклероз. Увеличение размеров сердца, умеренно выраженное. Склероз аорты.
Диф. диагноз: туберкулёз в/доли правого лёгкого.


Вложения:
04.png
04.png [ 429.04 KiB | Просмотров: 49267 ]

_________________
Я вас всех люблю, но порядок должен быть!
Вернуться наверх
 Профиль  
 
Показать сообщения за:  Сортировать по:  
Начать новую тему Ответить на тему  [ Сообщений: 23 ]  На страницу 1, 2  След.

Часовой пояс: UTC + 6 часов


Кто сейчас на форуме

Сейчас этот форум просматривают: нет зарегистрированных пользователей и гости: 4


Вы не можете начинать темы
Вы не можете отвечать на сообщения
Вы не можете редактировать свои сообщения
Вы не можете удалять свои сообщения
Вы не можете добавлять вложения

Найти:
Перейти:  
cron
Создано на основе phpBB® Forum Software © phpBB Group
Русская поддержка phpBB