cardiodreamteam.com

Портал профессионалов кардиологии
Текущее время: 20 янв 2026, 05:20

Часовой пояс: UTC + 6 часов




Начать новую тему Ответить на тему  [ Сообщений: 2 ] 
Автор Сообщение
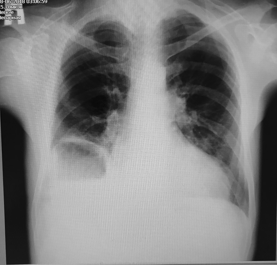
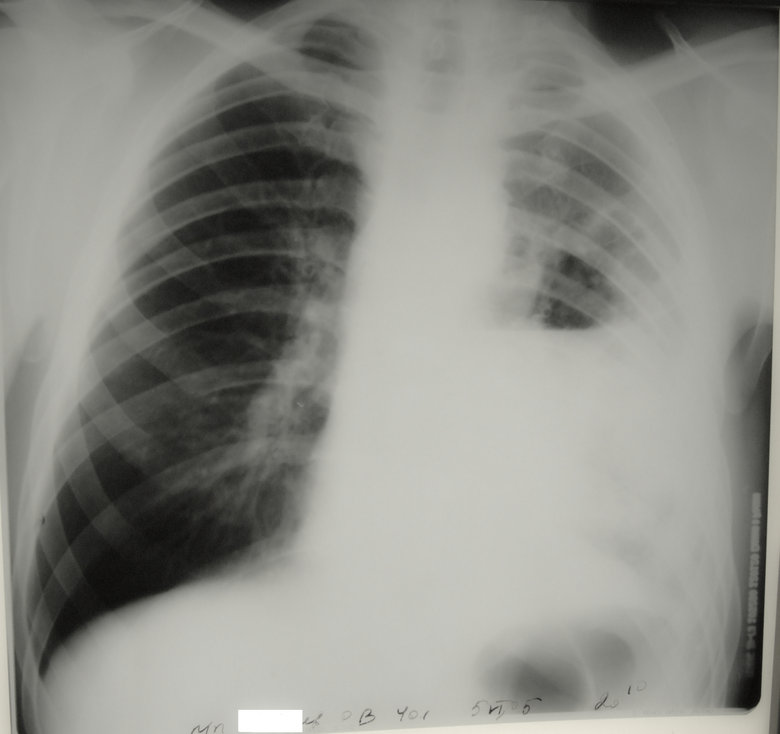
 Заголовок сообщения: Абсцесс легкого
СообщениеДобавлено: 30 окт 2015, 22:58 
Не в сети
Site Admin
Аватар пользователя

Зарегистрирован: 24 мар 2005, 22:44
Сообщений: 26576
полисегментарная деструктивная пневмония с абсцессом легкого

Обсуждалось здесь viewtopic.php?f=24&t=873


Вложения:
42807782_3_1342518.jpg
42807782_3_1342518.jpg [ 41.97 KiB | Просмотров: 15107 ]
42807791_3_1342519.jpg
42807791_3_1342519.jpg [ 271.3 KiB | Просмотров: 15107 ]

_________________
Я вас всех люблю, но порядок должен быть!
Вернуться наверх
 Профиль  
 
 Заголовок сообщения: Re: Абсцесс легкого
СообщениеДобавлено: 28 июл 2018, 15:33 
Не в сети
Site Admin
Аватар пользователя

Зарегистрирован: 24 мар 2005, 22:44
Сообщений: 26576
Обсуждалось здесь https://vk.com/club84409679?w=wall-84409679_8773%2Fall


Вложения:
IMG_6775.jpg
IMG_6775.jpg [ 153.03 KiB | Просмотров: 14628 ]
IMG_6777.jpg
IMG_6777.jpg [ 182.06 KiB | Просмотров: 14628 ]

_________________
Я вас всех люблю, но порядок должен быть!
Вернуться наверх
 Профиль  
 
Показать сообщения за:  Сортировать по:  
Начать новую тему Ответить на тему  [ Сообщений: 2 ] 

Часовой пояс: UTC + 6 часов


Кто сейчас на форуме

Сейчас этот форум просматривают: нет зарегистрированных пользователей и гости: 6


Вы не можете начинать темы
Вы не можете отвечать на сообщения
Вы не можете редактировать свои сообщения
Вы не можете удалять свои сообщения
Вы не можете добавлять вложения

Найти:
Перейти:  
cron
Создано на основе phpBB® Forum Software © phpBB Group
Русская поддержка phpBB