cardiodreamteam.com

Портал профессионалов кардиологии
Текущее время: 14 окт 2025, 05:36

Часовой пояс: UTC + 6 часов




Начать новую тему Ответить на тему  [ Сообщений: 4 ] 
Автор Сообщение
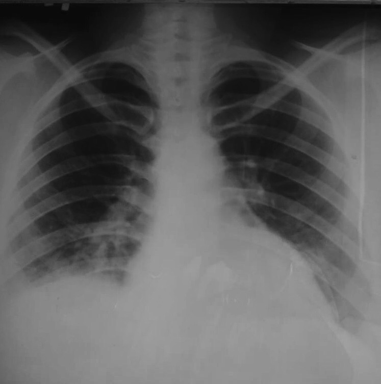
 Заголовок сообщения: ТЭЛА
СообщениеДобавлено: 30 окт 2015, 23:04 
Не в сети
Site Admin
Аватар пользователя

Зарегистрирован: 24 мар 2005, 22:44
Сообщений: 26560
ТЭЛА: высокое стояние купола диафрагмы справа, увеличено правое предсердие

Обсуждалось здесь viewtopic.php?f=24&t=876


Вложения:
42781448_3_1340768.jpg
42781448_3_1340768.jpg [ 250.88 KiB | Просмотров: 15868 ]

_________________
Я вас всех люблю, но порядок должен быть!
Вернуться наверх
 Профиль  
 
 Заголовок сообщения: Re: ТЭЛА
СообщениеДобавлено: 31 окт 2015, 00:16 
Не в сети
Site Admin
Аватар пользователя

Зарегистрирован: 24 мар 2005, 22:44
Сообщений: 26560
Левая легочная артерия отсутствует полностью. Она окклюзирована! Видны только бронхиальные артерии.

Обсуждалось здесь viewtopic.php?f=24&t=2587


Вложения:
43021391_3_1357501.jpg
43021391_3_1357501.jpg [ 141.91 KiB | Просмотров: 15866 ]

_________________
Я вас всех люблю, но порядок должен быть!
Вернуться наверх
 Профиль  
 
 Заголовок сообщения: Re: ТЭЛА
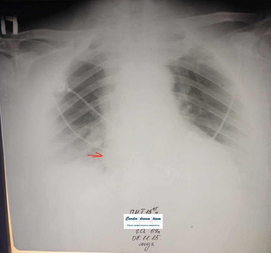
СообщениеДобавлено: 10 дек 2015, 00:22 
Не в сети
Site Admin
Аватар пользователя

Зарегистрирован: 24 мар 2005, 22:44
Сообщений: 26560
Стрелкой указано выпячивание правого предсердия.

Изображение

_________________
Я вас всех люблю, но порядок должен быть!


Вернуться наверх
 Профиль  
 
 Заголовок сообщения: Re: ТЭЛА
СообщениеДобавлено: 11 ноя 2018, 16:20 
Не в сети
Site Admin
Аватар пользователя

Зарегистрирован: 24 мар 2005, 22:44
Сообщений: 26560
Обсуждалось здесь https://vk.com/club84409679?w=wall-84409679_8931%2Fall

ТЭЛА как проявление АФС при волчанке. Высокое стояние купола диафрагмы справа, там же расширение корня и там же инфаркт пневмония.


Вложения:
omiDN_L3D-M.jpg
omiDN_L3D-M.jpg [ 52.39 KiB | Просмотров: 14290 ]

_________________
Я вас всех люблю, но порядок должен быть!
Вернуться наверх
 Профиль  
 
Показать сообщения за:  Сортировать по:  
Начать новую тему Ответить на тему  [ Сообщений: 4 ] 

Часовой пояс: UTC + 6 часов


Кто сейчас на форуме

Сейчас этот форум просматривают: нет зарегистрированных пользователей и гости: 5


Вы не можете начинать темы
Вы не можете отвечать на сообщения
Вы не можете редактировать свои сообщения
Вы не можете удалять свои сообщения
Вы не можете добавлять вложения

Найти:
Перейти:  
cron
Создано на основе phpBB® Forum Software © phpBB Group
Русская поддержка phpBB