cardiodreamteam.com

Портал профессионалов кардиологии
Текущее время: 17 ноя 2025, 12:00

Часовой пояс: UTC + 6 часов




Начать новую тему Ответить на тему  [ Сообщений: 6 ] 
Автор Сообщение
 Заголовок сообщения: РАА
СообщениеДобавлено: 30 окт 2015, 23:31 
Не в сети
Site Admin
Аватар пользователя

Зарегистрирован: 24 мар 2005, 22:44
Сообщений: 26566
Изображение

Изображение

Обсуждалось здесь viewtopic.php?f=24&t=1277

_________________
Я вас всех люблю, но порядок должен быть!


Вернуться наверх
 Профиль  
 
 Заголовок сообщения: Re: РАА
СообщениеДобавлено: 04 дек 2015, 11:46 
Не в сети
Site Admin
Аватар пользователя

Зарегистрирован: 24 мар 2005, 22:44
Сообщений: 26566
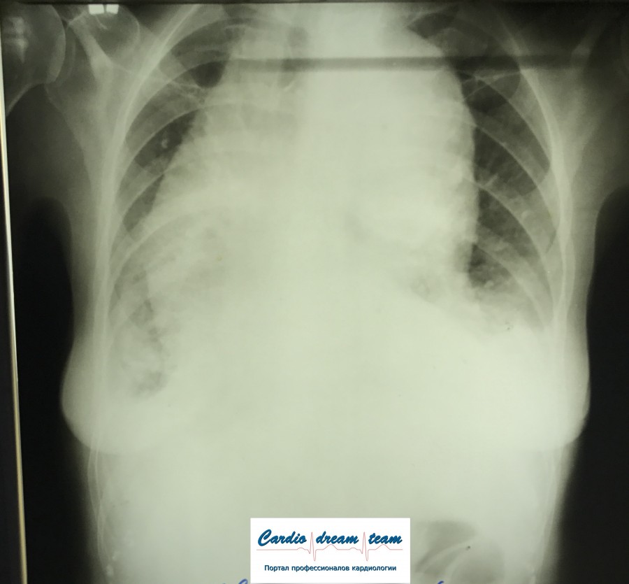
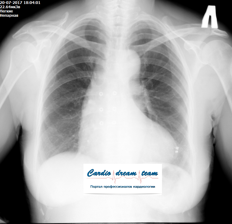
М, 69 лет. РАА. На первом снимке расширение срединной тени. На втором гемоторакс в результате прорыва крови из аорты в плевральную полость.

Не обсуждалось


Вложения:
FullSizeRender (1).jpg
FullSizeRender (1).jpg [ 715.86 KiB | Просмотров: 24017 ]
FullSizeRender (2).jpg
FullSizeRender (2).jpg [ 1022.05 KiB | Просмотров: 24017 ]

_________________
Я вас всех люблю, но порядок должен быть!
Вернуться наверх
 Профиль  
 
 Заголовок сообщения: Re: РАА
СообщениеДобавлено: 12 окт 2016, 18:15 
Не в сети
Site Admin
Аватар пользователя

Зарегистрирован: 24 мар 2005, 22:44
Сообщений: 26566
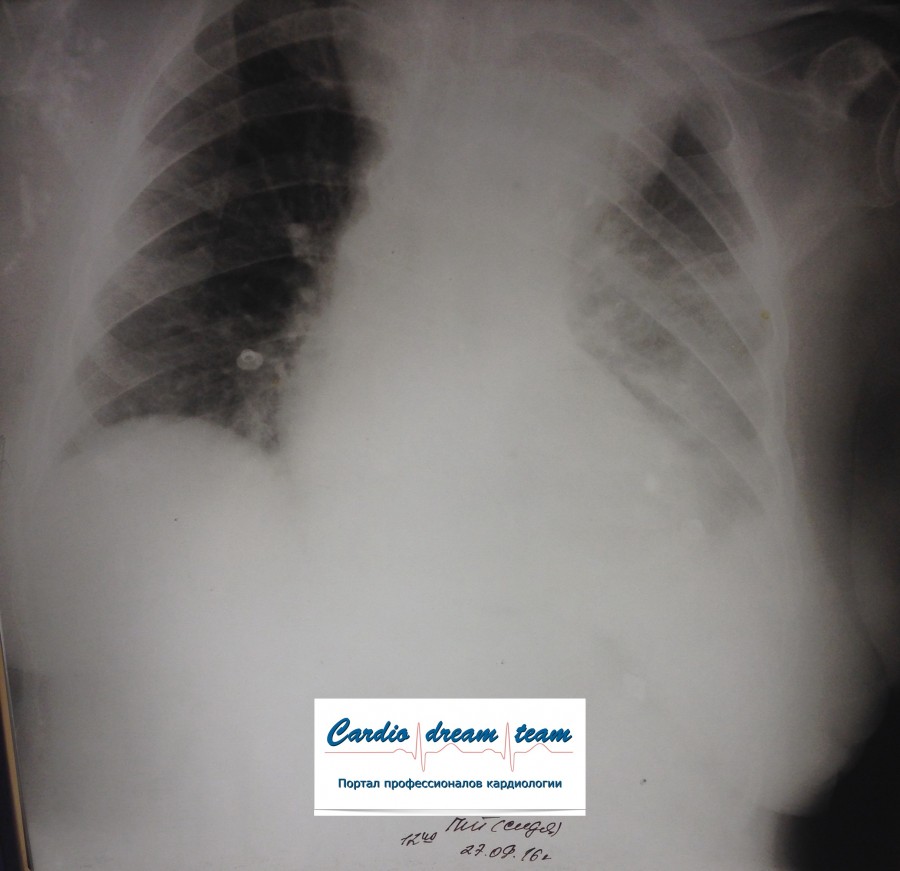
Ж 84 года. В маразме. РАА дуги и нисходящего отдела, доказана МСКТ. Поступила с болями в левом боку. На первом снимке левосторонний гемоторакс. На втором накопление жидкости до тотального уровня. На третьем после дренажа. Не оперирована. Выписана домой на 23 день госпитализации.

Обсуждалось в Госпитале Ослабленных Сердец


Вложения:
1.jpg
1.jpg [ 93.43 KiB | Просмотров: 23888 ]
2.jpg
2.jpg [ 92.4 KiB | Просмотров: 23888 ]
Копия 1.jpg
Копия 1.jpg [ 93.82 KiB | Просмотров: 23888 ]

_________________
Я вас всех люблю, но порядок должен быть!
Вернуться наверх
 Профиль  
 
 Заголовок сообщения: Re: РАА
СообщениеДобавлено: 29 июл 2017, 18:29 
Не в сети
Site Admin
Аватар пользователя

Зарегистрирован: 24 мар 2005, 22:44
Сообщений: 26566
Обсуждалось здесь https://vk.com/club84409679?w=wall-84409679_5226%2Fall


Вложения:
12.png
12.png [ 386.71 KiB | Просмотров: 23534 ]

_________________
Я вас всех люблю, но порядок должен быть!
Вернуться наверх
 Профиль  
 
 Заголовок сообщения: Re: РАА
СообщениеДобавлено: 23 сен 2017, 21:30 
Не в сети
Site Admin
Аватар пользователя

Зарегистрирован: 24 мар 2005, 22:44
Сообщений: 26566
Просто большая аорта, расслоения нет


Вложения:
1.jpg
1.jpg [ 981.31 KiB | Просмотров: 23420 ]
xqMr5CHY_C0.jpg
xqMr5CHY_C0.jpg [ 214.46 KiB | Просмотров: 23420 ]

_________________
Я вас всех люблю, но порядок должен быть!
Вернуться наверх
 Профиль  
 
 Заголовок сообщения: Re: РАА
СообщениеДобавлено: 07 июл 2018, 13:15 
Не в сети
Site Admin
Аватар пользователя

Зарегистрирован: 24 мар 2005, 22:44
Сообщений: 26566
РАА восходящего отдела. До расслоения 6,38.

Обсуждалось здесь https://vk.com/club84409679?w=wall-84409679_8160%2Fall


Вложения:
IMG_2006.JPG
IMG_2006.JPG [ 77.35 KiB | Просмотров: 22016 ]

_________________
Я вас всех люблю, но порядок должен быть!
Вернуться наверх
 Профиль  
 
Показать сообщения за:  Сортировать по:  
Начать новую тему Ответить на тему  [ Сообщений: 6 ] 

Часовой пояс: UTC + 6 часов


Кто сейчас на форуме

Сейчас этот форум просматривают: нет зарегистрированных пользователей и гости: 2


Вы не можете начинать темы
Вы не можете отвечать на сообщения
Вы не можете редактировать свои сообщения
Вы не можете удалять свои сообщения
Вы не можете добавлять вложения

Найти:
Перейти:  
cron
Создано на основе phpBB® Forum Software © phpBB Group
Русская поддержка phpBB