cardiodreamteam.com

Портал профессионалов кардиологии
Текущее время: 26 ноя 2025, 04:31

Часовой пояс: UTC + 6 часов




Начать новую тему Ответить на тему  [ 1 сообщение ] 
Автор Сообщение
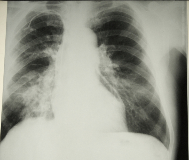
 Заголовок сообщения: Пневмоперикард
СообщениеДобавлено: 31 окт 2015, 00:14 
Не в сети
Site Admin
Аватар пользователя

Зарегистрирован: 24 мар 2005, 22:44
Сообщений: 26566
Обсуждали здесь viewtopic.php?f=24&t=2574


Вложения:
43021356_3_1357499.jpg
43021356_3_1357499.jpg [ 249.76 KiB | Просмотров: 7405 ]

_________________
Я вас всех люблю, но порядок должен быть!
Вернуться наверх
 Профиль  
 
Показать сообщения за:  Сортировать по:  
Начать новую тему Ответить на тему  [ 1 сообщение ] 

Часовой пояс: UTC + 6 часов


Кто сейчас на форуме

Сейчас этот форум просматривают: нет зарегистрированных пользователей и гости: 4


Вы не можете начинать темы
Вы не можете отвечать на сообщения
Вы не можете редактировать свои сообщения
Вы не можете удалять свои сообщения
Вы не можете добавлять вложения

Найти:
Перейти:  
cron
Создано на основе phpBB® Forum Software © phpBB Group
Русская поддержка phpBB