cardiodreamteam.com

Портал профессионалов кардиологии
Текущее время: 26 ноя 2025, 06:46

Часовой пояс: UTC + 6 часов




Начать новую тему Ответить на тему  [ 1 сообщение ] 
Автор Сообщение
 Заголовок сообщения: Расширение срединной тени
СообщениеДобавлено: 04 дек 2015, 12:02 
Не в сети
Site Admin
Аватар пользователя

Зарегистрирован: 24 мар 2005, 22:44
Сообщений: 26566
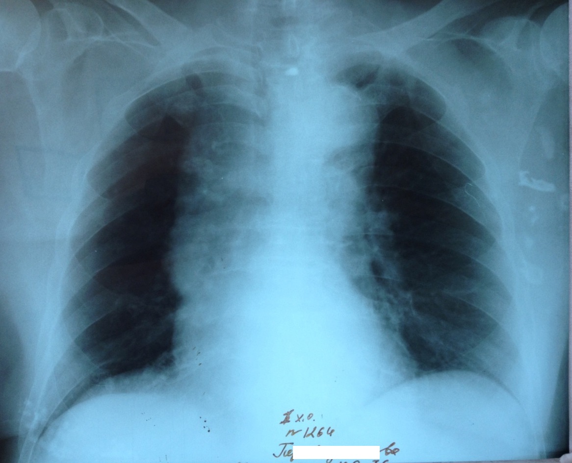
Расширение срединной тени. Рентген и результаты КТ.

Не обсуждалась


Вложения:
IMG_4165-.jpg
IMG_4165-.jpg [ 195.47 KiB | Просмотров: 7595 ]
IMG_4598-.jpg
IMG_4598-.jpg [ 937.89 KiB | Просмотров: 7595 ]

_________________
Я вас всех люблю, но порядок должен быть!
Вернуться наверх
 Профиль  
 
Показать сообщения за:  Сортировать по:  
Начать новую тему Ответить на тему  [ 1 сообщение ] 

Часовой пояс: UTC + 6 часов


Кто сейчас на форуме

Сейчас этот форум просматривают: нет зарегистрированных пользователей и гости: 7


Вы не можете начинать темы
Вы не можете отвечать на сообщения
Вы не можете редактировать свои сообщения
Вы не можете удалять свои сообщения
Вы не можете добавлять вложения

Найти:
Перейти:  
cron
Создано на основе phpBB® Forum Software © phpBB Group
Русская поддержка phpBB