cardiodreamteam.com

Портал профессионалов кардиологии
Текущее время: 17 окт 2025, 03:49

Часовой пояс: UTC + 6 часов




Начать новую тему Ответить на тему  [ Сообщений: 4 ] 
Автор Сообщение
 Заголовок сообщения: Электроды на месте
СообщениеДобавлено: 07 янв 2016, 15:11 
Не в сети
Site Admin
Аватар пользователя

Зарегистрирован: 24 мар 2005, 22:44
Сообщений: 26560
ИКД + ЭКС DDD. Когда всё на месте и всё работает.

Не обсуждалась


Вложения:
2.jpg
2.jpg [ 800.72 KiB | Просмотров: 15495 ]

_________________
Я вас всех люблю, но порядок должен быть!
Вернуться наверх
 Профиль  
 
 Заголовок сообщения: Re: Электроды на месте
СообщениеДобавлено: 27 май 2016, 01:08 
Не в сети
Site Admin
Аватар пользователя

Зарегистрирован: 24 мар 2005, 22:44
Сообщений: 26560
Один желудочковый электрод подключен, другой нет.
Изображение
Изображение
Изображение

Обсуждалось здесь viewtopic.php?f=11&t=11669

_________________
Я вас всех люблю, но порядок должен быть!


Вернуться наверх
 Профиль  
 
 Заголовок сообщения: Re: Электроды на месте
СообщениеДобавлено: 27 май 2016, 01:12 
Не в сети
Site Admin
Аватар пользователя

Зарегистрирован: 24 мар 2005, 22:44
Сообщений: 26560
ИКД + RCT на рентгене. Синий - предсердный электрод. Сиреневые желудочковые для синхронизации. Красный электрод для дефибрилляции. Всё на месте.

Не обсуждалась


Вложения:
0b2HveKL4og.jpg
0b2HveKL4og.jpg [ 170.09 KiB | Просмотров: 15400 ]

_________________
Я вас всех люблю, но порядок должен быть!
Вернуться наверх
 Профиль  
 
 Заголовок сообщения: Re: Электроды на месте
СообщениеДобавлено: 06 июн 2016, 16:26 
Не в сети
Site Admin
Аватар пользователя

Зарегистрирован: 24 мар 2005, 22:44
Сообщений: 26560
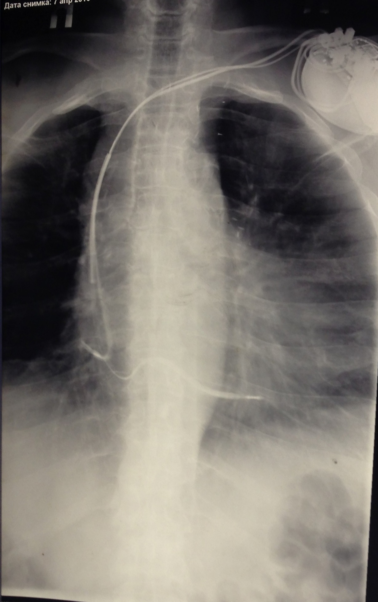
DDD+ ICD. Все на месте

Не обсуждалась


Вложения:
1-.jpg
1-.jpg [ 323.1 KiB | Просмотров: 15361 ]

_________________
Я вас всех люблю, но порядок должен быть!
Вернуться наверх
 Профиль  
 
Показать сообщения за:  Сортировать по:  
Начать новую тему Ответить на тему  [ Сообщений: 4 ] 

Часовой пояс: UTC + 6 часов


Кто сейчас на форуме

Сейчас этот форум просматривают: нет зарегистрированных пользователей и гости: 6


Вы не можете начинать темы
Вы не можете отвечать на сообщения
Вы не можете редактировать свои сообщения
Вы не можете удалять свои сообщения
Вы не можете добавлять вложения

Найти:
Перейти:  
cron
Создано на основе phpBB® Forum Software © phpBB Group
Русская поддержка phpBB