cardiodreamteam.com

Портал профессионалов кардиологии
Текущее время: 11 янв 2026, 19:04

Часовой пояс: UTC + 6 часов




Начать новую тему Ответить на тему  [ 1 сообщение ] 
Автор Сообщение
 Заголовок сообщения: Аспирация рвотных масс
СообщениеДобавлено: 11 фев 2017, 16:55 
Не в сети
Site Admin
Аватар пользователя

Зарегистрирован: 24 мар 2005, 22:44
Сообщений: 26576
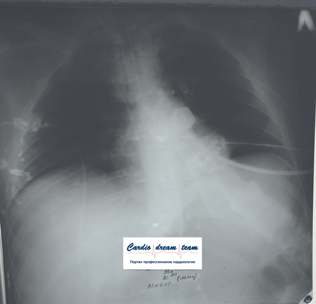
М 35 лет наркоман. Аспирация рвотных масс. До санации и после.

Обсуждалось в Госпитале Ослабленных Сердец


Вложения:
IMG_5519.png
IMG_5519.png [ 1.46 MiB | Просмотров: 12190 ]
IMG_6456.png
IMG_6456.png [ 1.17 MiB | Просмотров: 12190 ]

_________________
Я вас всех люблю, но порядок должен быть!
Вернуться наверх
 Профиль  
 
Показать сообщения за:  Сортировать по:  
Начать новую тему Ответить на тему  [ 1 сообщение ] 

Часовой пояс: UTC + 6 часов


Кто сейчас на форуме

Сейчас этот форум просматривают: нет зарегистрированных пользователей и гости: 7


Вы не можете начинать темы
Вы не можете отвечать на сообщения
Вы не можете редактировать свои сообщения
Вы не можете удалять свои сообщения
Вы не можете добавлять вложения

Найти:
Перейти:  
cron
Создано на основе phpBB® Forum Software © phpBB Group
Русская поддержка phpBB