|
Пневмонии нет.
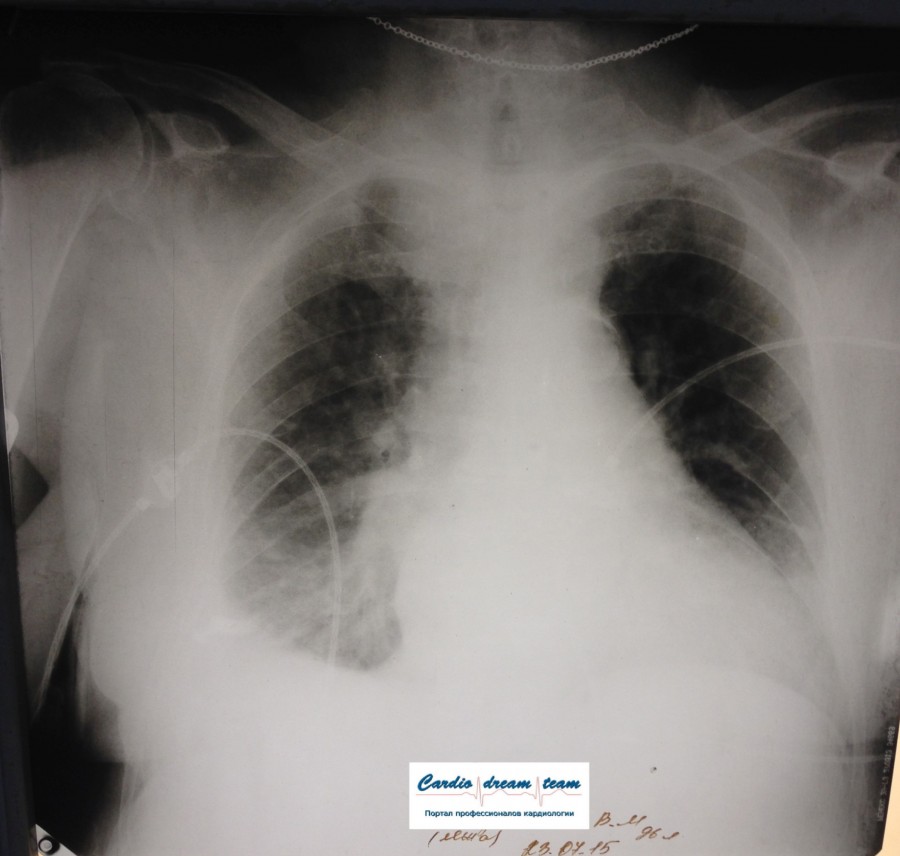
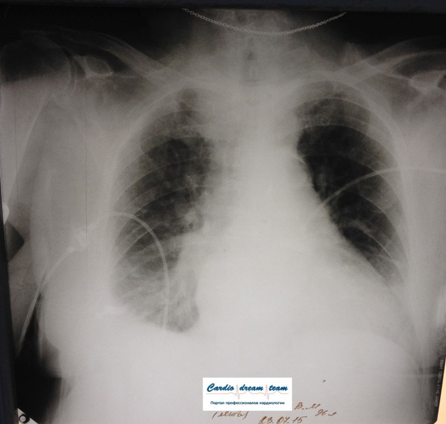
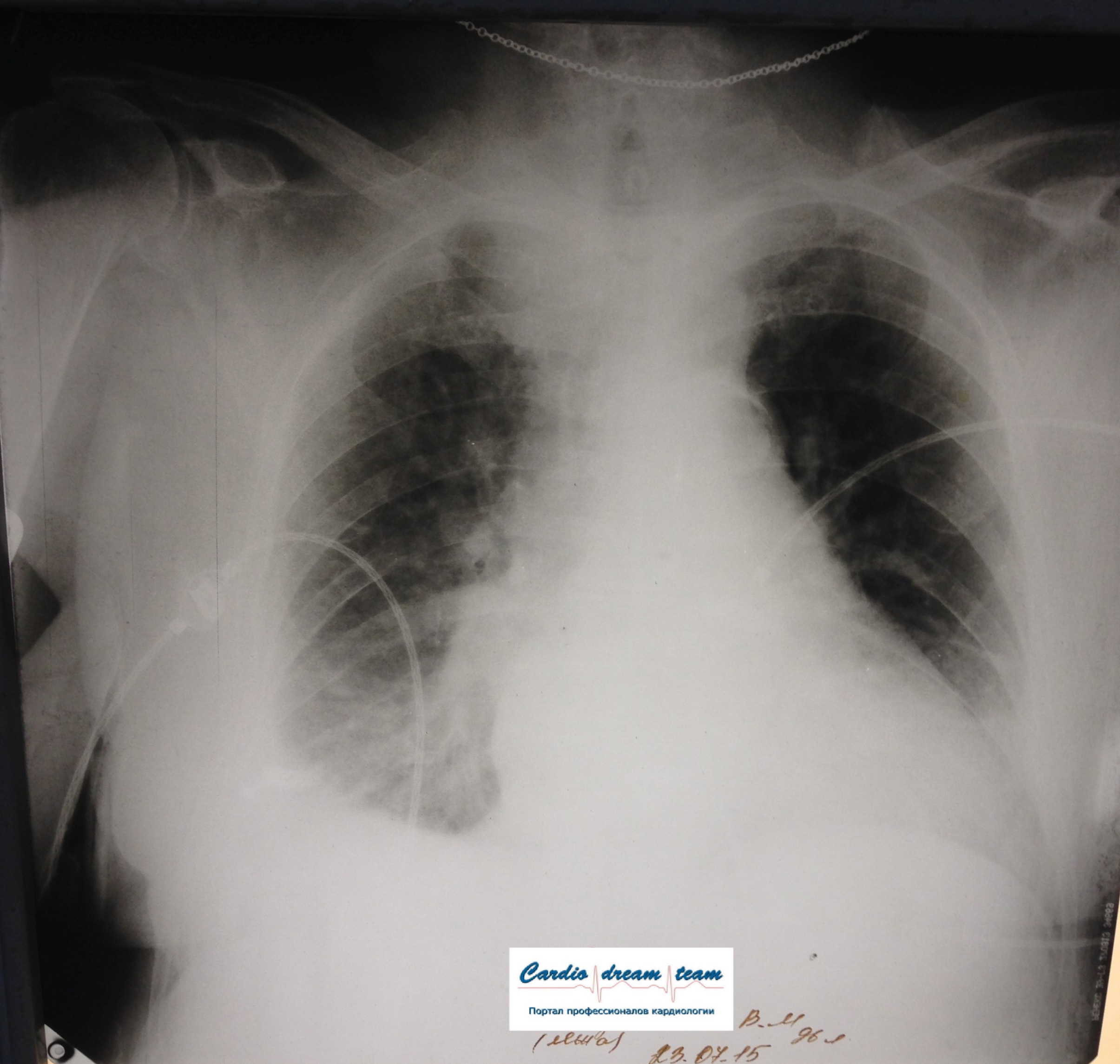
Не обсуждалась Дата 23-ИЮЛ-15 ОПИСАНИЕ: Проведена рентгенография органов грудной клетки в прямой проекции, положение лежа, условия ПИТ Легочные поля: неравномерно прозрачны за счет сосудистого обогащения, в базальных отделах с обеих сторон, отмечается сгущение легочного рисунка, за счет гиповентиляции, в плевральных полостях жидкость Легочный рисунок: Изменен по смешанному типу: обогащен за счет сосудистого компонента, деформирован за счет склероза. Корни: бесструктурны, расширены за счет сосудистого компонента, обогащены Синусы: определяется наличие жидкости по линии 5 ребра Сердце: широко лежит на диафрагме отмечается расширение границ сердечной тени влево, вправо экг-электроды. ЗАКЛЮЧЕНИЕ: Рентген-признаки 2-х стороннего гидроторакса с гиповентиляцией базальных сегментов.. Признаки застоя по МКК 2 степени (умеренно выраженный). Пневмосклероз. Р-признаки гипертрофии левого желудочка сердца. Склероз аорты.
| Вложения: |

IMG_4339--.jpg [ 717.06 KiB | Просмотров: 29302 ]
|
_________________ Я вас всех люблю, но порядок должен быть!
|