cardiodreamteam.com

Портал профессионалов кардиологии
Текущее время: 30 дек 2025, 09:09

Часовой пояс: UTC + 6 часов




Начать новую тему Ответить на тему  [ Сообщений: 11 ] 
Автор Сообщение
СообщениеДобавлено: 30 окт 2015, 23:48 
Не в сети
Site Admin
Аватар пользователя

Зарегистрирован: 24 мар 2005, 22:44
Сообщений: 26576
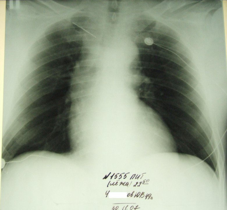
Электрод причем никак не хотел идти вниз. Видимо интрадюссер сразу попал в яремную

Обсуждалось здесь viewtopic.php?f=24&t=1606


Вложения:
42864763_3_1346650.jpg
42864763_3_1346650.jpg [ 367.83 KiB | Просмотров: 39927 ]

_________________
Я вас всех люблю, но порядок должен быть!
Вернуться наверх
 Профиль  
 
СообщениеДобавлено: 30 окт 2015, 23:51 
Не в сети
Site Admin
Аватар пользователя

Зарегистрирован: 24 мар 2005, 22:44
Сообщений: 26576
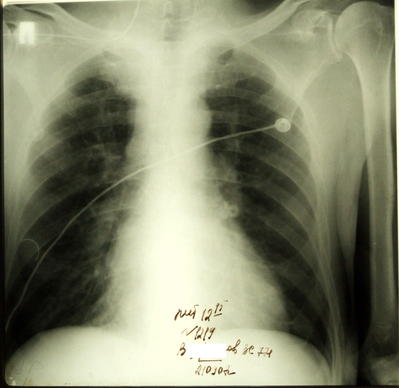
У пациента был установлен подключичный катетер, который обломился и который виден потому, что Р - контрастен. Больше пациент объяснить не может, потому как тогда ему было 11 лет.

Обсудалось здесь viewtopic.php?f=24&t=1782


Вложения:
42864725_3_1346648.jpg
42864725_3_1346648.jpg [ 54.38 KiB | Просмотров: 39925 ]

_________________
Я вас всех люблю, но порядок должен быть!
Вернуться наверх
 Профиль  
 
СообщениеДобавлено: 30 окт 2015, 23:54 
Не в сети
Site Admin
Аватар пользователя

Зарегистрирован: 24 мар 2005, 22:44
Сообщений: 26576
Интубационная трубка на карине, аж согнулась

Обсуждалось здесь


Вложения:
43021305_3_1357497.jpg
43021305_3_1357497.jpg [ 221.62 KiB | Просмотров: 39924 ]

_________________
Я вас всех люблю, но порядок должен быть!
Вернуться наверх
 Профиль  
 
СообщениеДобавлено: 31 окт 2015, 00:34 
Не в сети
Site Admin
Аватар пользователя

Зарегистрирован: 24 мар 2005, 22:44
Сообщений: 26576
Был VVI, поставили DDD. Электрод остался.

Обсуждали здесь viewtopic.php?f=24&t=2655


Вложения:
43021620_3_1357508.jpg
43021620_3_1357508.jpg [ 125.89 KiB | Просмотров: 39923 ]

_________________
Я вас всех люблю, но порядок должен быть!
Вернуться наверх
 Профиль  
 
СообщениеДобавлено: 28 дек 2015, 22:28 
Не в сети
Site Admin
Аватар пользователя

Зарегистрирован: 24 мар 2005, 22:44
Сообщений: 26576
Гиповентиляция правого легкого потому, что интубационная трубка в правом легком. Конец трубки указан красным.

Не обсуждалось


Вложения:
IMG_5234--.jpg
IMG_5234--.jpg [ 806.1 KiB | Просмотров: 39921 ]

_________________
Я вас всех люблю, но порядок должен быть!
Вернуться наверх
 Профиль  
 
СообщениеДобавлено: 03 ноя 2016, 21:53 
Не в сети
Site Admin
Аватар пользователя

Зарегистрирован: 24 мар 2005, 22:44
Сообщений: 26576
Ранение аорты спицей при переломе правого плеча.

Обсуждалось в Госпитале ослабленных сердец


Вложения:
Кра.jpg
Кра.jpg [ 97.61 KiB | Просмотров: 39737 ]
IMG_7832-.jpg
IMG_7832-.jpg [ 72.54 KiB | Просмотров: 39737 ]
IMG_7868--.jpg
IMG_7868--.jpg [ 245.09 KiB | Просмотров: 39737 ]

_________________
Я вас всех люблю, но порядок должен быть!
Вернуться наверх
 Профиль  
 
СообщениеДобавлено: 18 апр 2017, 14:30 
Не в сети
Site Admin
Аватар пользователя

Зарегистрирован: 24 мар 2005, 22:44
Сообщений: 26576
Порт для ПХТ справа

Обсуждалось в Госпитале Ослабленных Сердец
На обзорной цифровой рентгенограмме органов грудной клетки в прямой проекции легочные поля прозрачные, без очаговых и инфильтративных изменений. В верхнем легочном поле правого легкого - скрепочный шов - состояние после оперативного лечения. Легочный рисунок усилен, умеренно обогащен в прикорневых, срединных зонах, деформирован по смешанному типу. Корни малоструктурные, не расширены. Синусы свободные. Тень средостения без особенностей. Границы сердца расширены позиционно. Аорта не изменена. Тень подключичного катетера. Справа отсутствует тень молочной железы - состояние после мастэктомии справа.

Заключение: Инфильтративных изменений не выявлено. Пневмосклероз. Состояние после оперативного лечения правого легкого, мастэктомии справа.


Вложения:
233.png
233.png [ 405.18 KiB | Просмотров: 39288 ]

_________________
Я вас всех люблю, но порядок должен быть!
Вернуться наверх
 Профиль  
 
СообщениеДобавлено: 12 май 2017, 09:10 
Не в сети
Site Admin
Аватар пользователя

Зарегистрирован: 24 мар 2005, 22:44
Сообщений: 26576
ИКД и оптимизатор у одного пациента

Обсуждалось в Госпитале Ослабленных Сердец


Вложения:
c 14.png
c 14.png [ 428.32 KiB | Просмотров: 39224 ]

_________________
Я вас всех люблю, но порядок должен быть!
Вернуться наверх
 Профиль  
 
СообщениеДобавлено: 24 май 2017, 11:23 
Не в сети
Site Admin
Аватар пользователя

Зарегистрирован: 24 мар 2005, 22:44
Сообщений: 26576
Затемненная рентгенограмма, чтобы посмотреть, что электрод временного кардиостимулятора стоит на месте - уперся в стенку правого желудочка.


Вложения:
IMG_0334-.jpg
IMG_0334-.jpg [ 371.65 KiB | Просмотров: 39193 ]
IMG_0334--.jpg
IMG_0334--.jpg [ 381.5 KiB | Просмотров: 39193 ]

_________________
Я вас всех люблю, но порядок должен быть!
Вернуться наверх
 Профиль  
 
СообщениеДобавлено: 02 ноя 2017, 23:33 
Не в сети
Site Admin
Аватар пользователя

Зарегистрирован: 24 мар 2005, 22:44
Сообщений: 26576
ИКД с VVI и старый электрод

Обсуждалось здесь https://vk.com/club84409679?w=wall-84409679_6064%2Fall


Вложения:
IMG_3412.png
IMG_3412.png [ 630.55 KiB | Просмотров: 38736 ]

_________________
Я вас всех люблю, но порядок должен быть!
Вернуться наверх
 Профиль  
 
СообщениеДобавлено: 25 апр 2018, 21:35 
Не в сети
Site Admin
Аватар пользователя

Зарегистрирован: 24 мар 2005, 22:44
Сообщений: 26576
Дислокация дренажной трубки

Обсуждалось здесь https://vk.com/club84409679?w=wall-84409679_7759%2Fall


Вложения:
IMG_5136.png
IMG_5136.png [ 761.35 KiB | Просмотров: 35857 ]
IMG_5136.png
IMG_5136.png [ 761.35 KiB | Просмотров: 35857 ]

_________________
Я вас всех люблю, но порядок должен быть!
Вернуться наверх
 Профиль  
 
Показать сообщения за:  Сортировать по:  
Начать новую тему Ответить на тему  [ Сообщений: 11 ] 

Часовой пояс: UTC + 6 часов


Кто сейчас на форуме

Сейчас этот форум просматривают: нет зарегистрированных пользователей и гости: 5


Вы не можете начинать темы
Вы не можете отвечать на сообщения
Вы не можете редактировать свои сообщения
Вы не можете удалять свои сообщения
Вы не можете добавлять вложения

Найти:
Перейти:  
cron
Создано на основе phpBB® Forum Software © phpBB Group
Русская поддержка phpBB