|
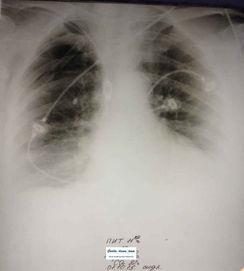
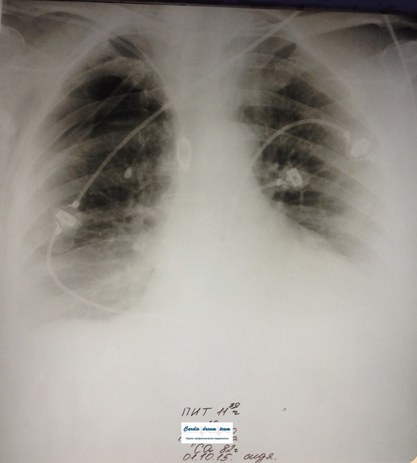
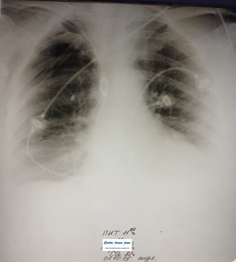
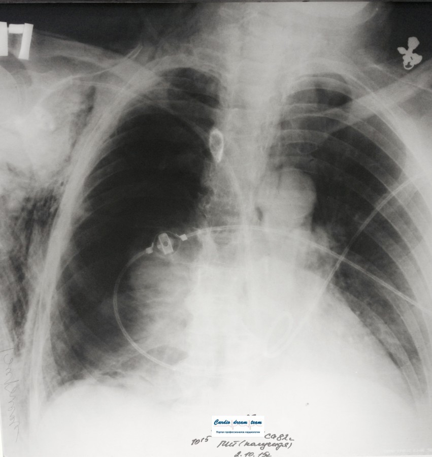
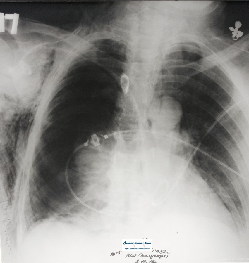
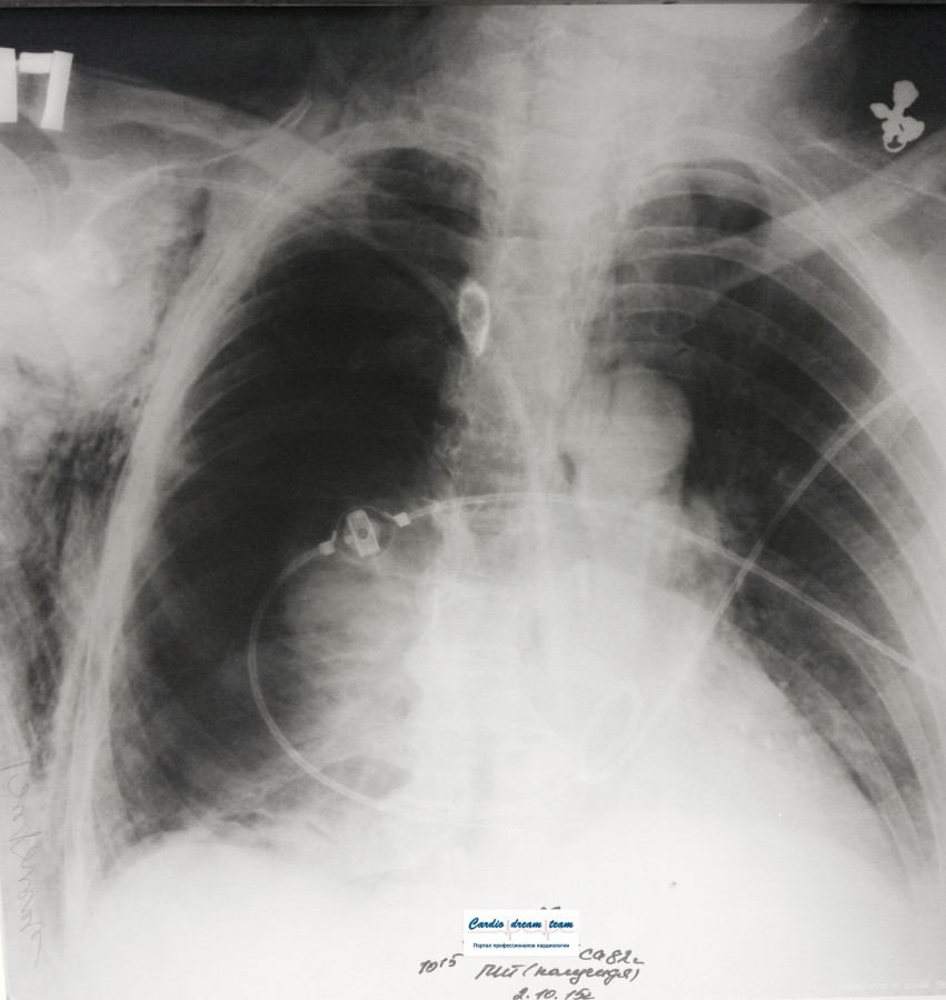
ИССЛЕДОВАНИЕ ОРГАНОВ ГРУДНОЙ КЛЕТКИ Дата 01-ОКТ-15 время 11.30 ОПИСАНИЕ: Проведена рентгенография органов грудной клетки в прямой проекции, положение сидя, условия ПИТ, Р-контроль Легочные поля: Справа легкое расправлено не полностью, апикально до 3го ребра прослеживается свободный газ в плевральной полости. Тень дренажа справа. Тень подключичного катетера в проекции ВПВ. Легочный рисунок: сгущен справа в прикорневой зоне, диффузно деформирован Корни: малоструктурны, обогащены Синусы: нечеткие Сердце: широко лежит на диафрагме (позиционно) ЗАКЛЮЧЕНИЕ: Течение правостороннего пневмоторакса, положительная Р-динамика. Состояние дренирования правой плевральной полости. Р-признаки полнокровия сосудов МКК. Пневмосклероз. Р-контроль .────────────────────────────────────────────────────────────────────── ИССЛЕДОВАНИЕ ОРГАНОВ ГРУДНОЙ КЛЕТКИ Дата 02-ОКТ-15 время 1015 ОПИСАНИЕ:
Проведена рентгенография органов грудной клетки в прямой проекции, положение полусидя, условия ПИТ, Р-контроль Легочные поля: Отрицательная динамика: правое легкое поджато к корню. Тень средостения резко смещена влево. Выраженная подкожная эмфизема мягких тканей грудной клетки справа. Тень подключичного катетера в проекции ВПВ. Легочный рисунок: диффузно деформирован за счет пневмосклероза, сгущен справа Корни: тень средостения смещена влево Синусы: нечеткие Сердце: широко лежит на диафрагме (позиционно) ЗАКЛЮЧЕНИЕ: Правосторонний пневмоторакс, отрицательная Р-динамика. Эмфизема мягких тканей грудной клетки. Пневмосклероз. Р-контроль.
| Вложения: |

IMG_4858-1.jpg [ 939.97 KiB | Просмотров: 42403 ]
|

IMG_4863-1.jpg [ 831.17 KiB | Просмотров: 42403 ]
|
_________________ Я вас всех люблю, но порядок должен быть!
|