cardiodreamteam.com

Портал профессионалов кардиологии
Текущее время: 24 фев 2026, 18:25

Часовой пояс: UTC + 6 часов




Начать новую тему Ответить на тему  [ Сообщений: 18 ]  На страницу 1, 2  След.
Автор Сообщение
 Заголовок сообщения: Рак легких и метастазы в легкие
СообщениеДобавлено: 30 окт 2015, 22:55 
Не в сети
Site Admin
Аватар пользователя

Зарегистрирован: 24 мар 2005, 22:44
Сообщений: 26576
Периферический рак

Обсуждалось здесь viewtopic.php?f=24&t=867


Вложения:
42807745_3_1342516.jpg
42807745_3_1342516.jpg [ 41.74 KiB | Просмотров: 59573 ]

_________________
Я вас всех люблю, но порядок должен быть!
Вернуться наверх
 Профиль  
 
 Заголовок сообщения: Re: Рак легких
СообщениеДобавлено: 30 окт 2015, 23:13 
Не в сети
Site Admin
Аватар пользователя

Зарегистрирован: 24 мар 2005, 22:44
Сообщений: 26576
Обсуждалось здесь viewtopic.php?f=24&t=909


Вложения:
42807893_3_1342522.jpg
42807893_3_1342522.jpg [ 39.96 KiB | Просмотров: 59571 ]
42807975_3_1342523.jpg
42807975_3_1342523.jpg [ 46.13 KiB | Просмотров: 59571 ]

_________________
Я вас всех люблю, но порядок должен быть!
Вернуться наверх
 Профиль  
 
 Заголовок сообщения: Re: Рак легких
СообщениеДобавлено: 30 окт 2015, 23:58 
Не в сети
Site Admin
Аватар пользователя

Зарегистрирован: 24 мар 2005, 22:44
Сообщений: 26576
Рак сдавливает бронх и получается гиповентиляция средней доли

Обсуждалось здесь viewtopic.php?f=24&t=2491


Вложения:
42993346_3_1354948.jpg
42993346_3_1354948.jpg [ 263.85 KiB | Просмотров: 59570 ]

_________________
Я вас всех люблю, но порядок должен быть!
Вернуться наверх
 Профиль  
 
 Заголовок сообщения: Re: Рак легких
СообщениеДобавлено: 31 окт 2015, 00:36 
Не в сети
Site Admin
Аватар пользователя

Зарегистрирован: 24 мар 2005, 22:44
Сообщений: 26576
Центральный рак легкого

Обсуждали здесь viewtopic.php?f=24&t=2663


Вложения:
43021664_3_1357509.jpg
43021664_3_1357509.jpg [ 50.86 KiB | Просмотров: 59569 ]

_________________
Я вас всех люблю, но порядок должен быть!
Вернуться наверх
 Профиль  
 
 Заголовок сообщения: Re: Рак легких
СообщениеДобавлено: 31 окт 2015, 00:54 
Не в сети
Site Admin
Аватар пользователя

Зарегистрирован: 24 мар 2005, 22:44
Сообщений: 26576
Обсуждали здесь viewtopic.php?f=24&t=3950


Вложения:
43462962_3_1388880.jpg
43462962_3_1388880.jpg [ 68.98 KiB | Просмотров: 59568 ]

_________________
Я вас всех люблю, но порядок должен быть!
Вернуться наверх
 Профиль  
 
 Заголовок сообщения: Re: Рак легких
СообщениеДобавлено: 31 окт 2015, 00:56 
Не в сети
Site Admin
Аватар пользователя

Зарегистрирован: 24 мар 2005, 22:44
Сообщений: 26576
Параканкрозная пневмония. Внутри круг - это периферический рак

Изображение

Обсуждали здесь viewtopic.php?f=24&t=3988

_________________
Я вас всех люблю, но порядок должен быть!


Вернуться наверх
 Профиль  
 
 Заголовок сообщения: Re: Рак легких
СообщениеДобавлено: 08 янв 2016, 16:06 
Не в сети
Site Admin
Аватар пользователя

Зарегистрирован: 24 мар 2005, 22:44
Сообщений: 26576
Изображение

Обсуждалось здесь viewtopic.php?f=24&t=4006

_________________
Я вас всех люблю, но порядок должен быть!


Вернуться наверх
 Профиль  
 
 Заголовок сообщения: Re: Рак легких
СообщениеДобавлено: 18 ноя 2016, 18:56 
Не в сети
Site Admin
Аватар пользователя

Зарегистрирован: 24 мар 2005, 22:44
Сообщений: 26576
На рентгене гиповентиляция - признак центрального рака

Обсуждалось в Госпитале Ослабленных Сердец


Вложения:
1.jpg
1.jpg [ 153.7 KiB | Просмотров: 59286 ]
2.jpg
2.jpg [ 116.83 KiB | Просмотров: 59286 ]
IMG_7902-.jpg
IMG_7902-.jpg [ 380.61 KiB | Просмотров: 59286 ]
Rotation of IMG_7904-.jpg
Rotation of IMG_7904-.jpg [ 467.04 KiB | Просмотров: 59286 ]

_________________
Я вас всех люблю, но порядок должен быть!
Вернуться наверх
 Профиль  
 
 Заголовок сообщения: Re: Рак легких
СообщениеДобавлено: 06 янв 2017, 14:00 
Не в сети
Site Admin
Аватар пользователя

Зарегистрирован: 24 мар 2005, 22:44
Сообщений: 26576
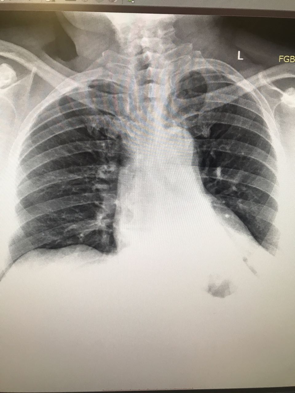
Рак преимущественно левого легкого

Обсуждалось в Госпитале Ослабленных Сердец


Вложения:
IMG_7753--.jpg
IMG_7753--.jpg [ 913.79 KiB | Просмотров: 59062 ]

_________________
Я вас всех люблю, но порядок должен быть!
Вернуться наверх
 Профиль  
 
 Заголовок сообщения: Re: Рак легких
СообщениеДобавлено: 17 янв 2017, 15:59 
Не в сети
Site Admin
Аватар пользователя

Зарегистрирован: 24 мар 2005, 22:44
Сообщений: 26576
Центральный рак. Ателектаз слева.
Обсуждалось в Госпитале Ослабленных Сердец

Изображение

_________________
Я вас всех люблю, но порядок должен быть!


Вернуться наверх
 Профиль  
 
 Заголовок сообщения: Re: Рак легких
СообщениеДобавлено: 30 янв 2017, 19:09 
Не в сети
Site Admin
Аватар пользователя

Зарегистрирован: 24 мар 2005, 22:44
Сообщений: 26576
Периферический рак в правом легком

Обсуждалось в Госпитале Ослабленных Сердец


Вложения:
1.png
1.png [ 528.14 KiB | Просмотров: 58938 ]

_________________
Я вас всех люблю, но порядок должен быть!
Вернуться наверх
 Профиль  
 
 Заголовок сообщения: Re: Рак легких
СообщениеДобавлено: 09 мар 2017, 23:27 
Не в сети
Site Admin
Аватар пользователя

Зарегистрирован: 24 мар 2005, 22:44
Сообщений: 26576
Центральный, справа

Обсуждалось в Госпитале Ослабленных Сердец


Вложения:
11.png
11.png [ 369.57 KiB | Просмотров: 58815 ]

_________________
Я вас всех люблю, но порядок должен быть!
Вернуться наверх
 Профиль  
 
 Заголовок сообщения: Re: Рак легких
СообщениеДобавлено: 12 окт 2017, 20:10 
Не в сети
Site Admin
Аватар пользователя

Зарегистрирован: 24 мар 2005, 22:44
Сообщений: 26576
Центральный

Обсуждалось здесь https://vk.com/club84409679?w=wall-84409679_5847%2Fall


Вложения:
1.jpg
1.jpg [ 113.46 KiB | Просмотров: 58246 ]
2.jpg
2.jpg [ 117.54 KiB | Просмотров: 58246 ]
3.jpg
3.jpg [ 136.83 KiB | Просмотров: 58246 ]
1551d371-89e1-43ec-b78a-440bed1cc9bd.jpg
1551d371-89e1-43ec-b78a-440bed1cc9bd.jpg [ 256.36 KiB | Просмотров: 58246 ]

_________________
Я вас всех люблю, но порядок должен быть!
Вернуться наверх
 Профиль  
 
 Заголовок сообщения: Re: Рак легких
СообщениеДобавлено: 13 апр 2018, 11:56 
Не в сети
Site Admin
Аватар пользователя

Зарегистрирован: 24 мар 2005, 22:44
Сообщений: 26576
Метастазы в правое легкое из толстого кишечника.

Обсуждалось здесь https://vk.com/club84409679?w=wall-84409679_7569%2Fall


Вложения:
IMG_5350.jpg
IMG_5350.jpg [ 96.75 KiB | Просмотров: 55166 ]

_________________
Я вас всех люблю, но порядок должен быть!
Вернуться наверх
 Профиль  
 
 Заголовок сообщения: Re: Рак легких и метастазы в легкие
СообщениеДобавлено: 07 июл 2018, 14:16 
Не в сети
Site Admin
Аватар пользователя

Зарегистрирован: 24 мар 2005, 22:44
Сообщений: 26576
Местастазы в легкие

Обсуждалось здесь https://vk.com/club84409679?w=wall-84409679_8361%2Fall


Вложения:
IMG_3031.JPG
IMG_3031.JPG [ 142.2 KiB | Просмотров: 53214 ]

_________________
Я вас всех люблю, но порядок должен быть!
Вернуться наверх
 Профиль  
 
Показать сообщения за:  Сортировать по:  
Начать новую тему Ответить на тему  [ Сообщений: 18 ]  На страницу 1, 2  След.

Часовой пояс: UTC + 6 часов


Кто сейчас на форуме

Сейчас этот форум просматривают: нет зарегистрированных пользователей и гости: 0


Вы не можете начинать темы
Вы не можете отвечать на сообщения
Вы не можете редактировать свои сообщения
Вы не можете удалять свои сообщения
Вы не можете добавлять вложения

Найти:
Перейти:  
cron
Создано на основе phpBB® Forum Software © phpBB Group
Русская поддержка phpBB