cardiodreamteam.com

Портал профессионалов кардиологии
Текущее время: 09 ноя 2025, 08:39

Часовой пояс: UTC + 6 часов




Начать новую тему Ответить на тему  [ Сообщений: 9 ] 
Автор Сообщение
 Заголовок сообщения: Гидроторакс
СообщениеДобавлено: 30 окт 2015, 23:19 
Не в сети
Site Admin
Аватар пользователя

Зарегистрирован: 24 мар 2005, 22:44
Сообщений: 26566
гидроторакс Причем двухсторонний и практически симметричный, причина - аденокарцинома желудка

Изображение

Изображение

Обсуждалось здесь viewtopic.php?f=24&t=952

_________________
Я вас всех люблю, но порядок должен быть!


Вернуться наверх
 Профиль  
 
 Заголовок сообщения: Re: Гидроторакс
СообщениеДобавлено: 31 окт 2015, 00:40 
Не в сети
Site Admin
Аватар пользователя

Зарегистрирован: 24 мар 2005, 22:44
Сообщений: 26566
гидроторакс

Изображение

Изображение

Изображение


Обсуждалось здесь viewtopic.php?f=24&t=3743

_________________
Я вас всех люблю, но порядок должен быть!


Вернуться наверх
 Профиль  
 
 Заголовок сообщения: Re: Гидроторакс
СообщениеДобавлено: 06 дек 2015, 16:11 
Не в сети
Site Admin
Аватар пользователя

Зарегистрирован: 24 мар 2005, 22:44
Сообщений: 26566
Тотальное затемнение слева - жидкость. Но жидкости не так и много. Всё-таки просматривается легочная ткань и при пункции получено всего 400 мл. Сидя в этом случае надо делать снимок. Или чтобы объем жидкости подсчитали спецы УЗИ.

Не обсуждалось


Вложения:
IMG_4652--.jpg
IMG_4652--.jpg [ 484.49 KiB | Просмотров: 103586 ]

_________________
Я вас всех люблю, но порядок должен быть!
Вернуться наверх
 Профиль  
 
 Заголовок сообщения: Re: Гидроторакс
СообщениеДобавлено: 12 окт 2016, 17:52 
Не в сети
Site Admin
Аватар пользователя

Зарегистрирован: 24 мар 2005, 22:44
Сообщений: 26566
Левосторонний тотальный гемоторакс у женщины с раком правой молочной железы с метастазами в оба легких. Первый снимок при поступлении и после удаления 4 литров геморрагической жидкости.

Обсуждалось в Госпитале Ослабленных Сердец


Вложения:
IMG_7512--.jpg
IMG_7512--.jpg [ 77.43 KiB | Просмотров: 103442 ]
IMG_7518--.jpg
IMG_7518--.jpg [ 93.17 KiB | Просмотров: 103442 ]

_________________
Я вас всех люблю, но порядок должен быть!
Вернуться наверх
 Профиль  
 
 Заголовок сообщения: Re: Гидроторакс
СообщениеДобавлено: 30 янв 2017, 19:58 
Не в сети
Site Admin
Аватар пользователя

Зарегистрирован: 24 мар 2005, 22:44
Сообщений: 26566
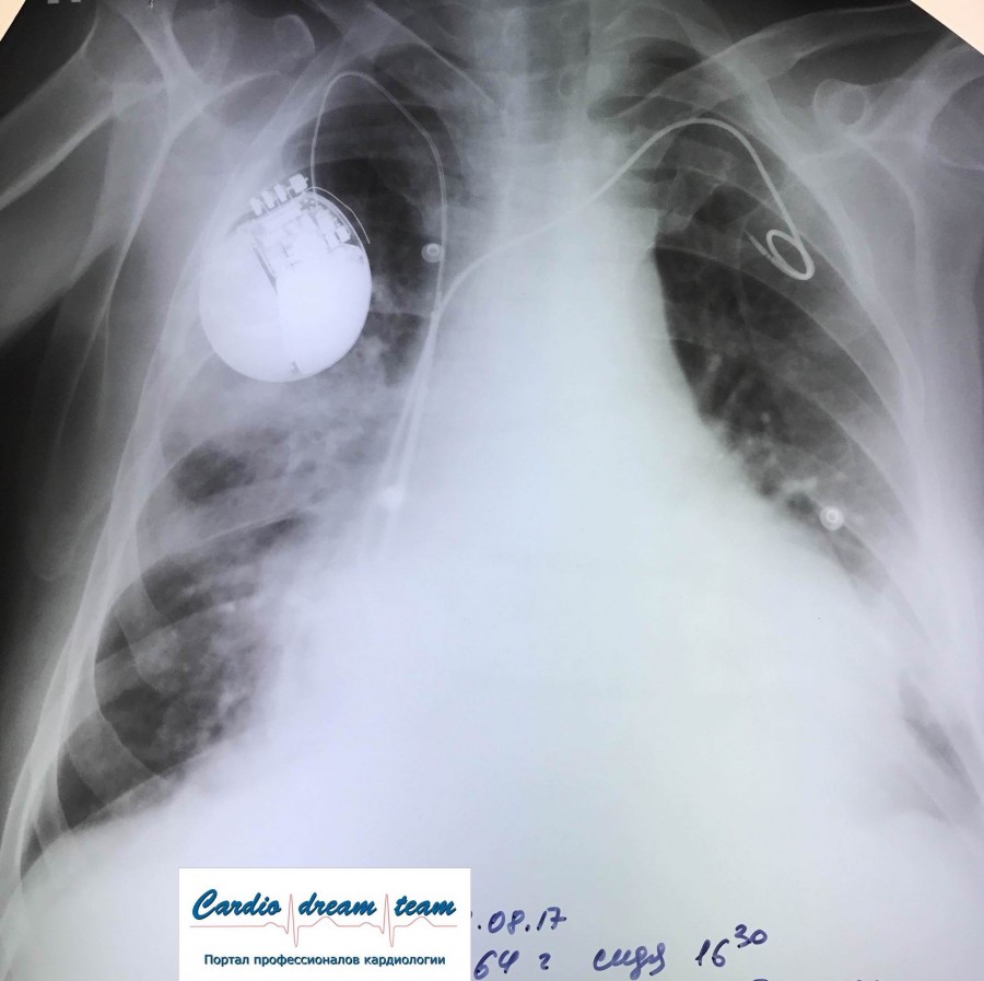
Гидроторакс. До и после пункции и лечения диуретиками.

Обсуждалось в Госпитале Ослабленных Сердец


Вложения:
11.png
11.png [ 641.39 KiB | Просмотров: 103265 ]
1.png
1.png [ 683.65 KiB | Просмотров: 103265 ]

_________________
Я вас всех люблю, но порядок должен быть!
Вернуться наверх
 Профиль  
 
 Заголовок сообщения: Re: Гидроторакс
СообщениеДобавлено: 16 фев 2017, 21:02 
Не в сети
Site Admin
Аватар пользователя

Зарегистрирован: 24 мар 2005, 22:44
Сообщений: 26566
Гидроторакс. Серия снимков.
1 - лежа. Так делать не надо! Надо только сидя!
2 - сидя. Понятно, что гидроторакс за раз не победить
3 - удалено 1100.
4 - удалено ещё 1200. И диуретики все эти дни.

Обсуждалось в ГОспитале Ослабленных Сердец.


Вложения:
IMG_3794.png
IMG_3794.png [ 1.59 MiB | Просмотров: 103237 ]
IMG_8599.JPG
IMG_8599.JPG [ 975.42 KiB | Просмотров: 103237 ]
IMG_5636.png
IMG_5636.png [ 1.37 MiB | Просмотров: 103237 ]
IMG_0844.png
IMG_0844.png [ 1.64 MiB | Просмотров: 103237 ]

_________________
Я вас всех люблю, но порядок должен быть!
Вернуться наверх
 Профиль  
 
 Заголовок сообщения: Re: Гидроторакс
СообщениеДобавлено: 06 сен 2017, 11:59 
Не в сети
Site Admin
Аватар пользователя

Зарегистрирован: 24 мар 2005, 22:44
Сообщений: 26566
До и после пункции


Вложения:
2-1..jpg
2-1..jpg [ 341.95 KiB | Просмотров: 102834 ]
2-2..png
2-2..png [ 697.03 KiB | Просмотров: 102834 ]

_________________
Я вас всех люблю, но порядок должен быть!
Вернуться наверх
 Профиль  
 
 Заголовок сообщения: Re: Гидроторакс
СообщениеДобавлено: 07 мар 2018, 17:05 
Не в сети
Site Admin
Аватар пользователя

Зарегистрирован: 24 мар 2005, 22:44
Сообщений: 26566
Правосторонний осумкованный гидроторакс.


Вложения:
IMG_3019.png
IMG_3019.png [ 1.45 MiB | Просмотров: 101784 ]

_________________
Я вас всех люблю, но порядок должен быть!
Вернуться наверх
 Профиль  
 
 Заголовок сообщения: Re: Гидроторакс
СообщениеДобавлено: 07 мар 2020, 20:35 
Не в сети
Site Admin
Аватар пользователя

Зарегистрирован: 24 мар 2005, 22:44
Сообщений: 26566
М 30 лет


Вложения:
1.jpg
1.jpg [ 408.91 KiB | Просмотров: 92920 ]
2.jpg
2.jpg [ 439.43 KiB | Просмотров: 92920 ]
IMG_6028.JPG
IMG_6028.JPG [ 182.36 KiB | Просмотров: 92920 ]

_________________
Я вас всех люблю, но порядок должен быть!
Вернуться наверх
 Профиль  
 
Показать сообщения за:  Сортировать по:  
Начать новую тему Ответить на тему  [ Сообщений: 9 ] 

Часовой пояс: UTC + 6 часов


Кто сейчас на форуме

Сейчас этот форум просматривают: нет зарегистрированных пользователей и гости: 11


Вы не можете начинать темы
Вы не можете отвечать на сообщения
Вы не можете редактировать свои сообщения
Вы не можете удалять свои сообщения
Вы не можете добавлять вложения

Найти:
Перейти:  
cron
Создано на основе phpBB® Forum Software © phpBB Group
Русская поддержка phpBB