cardiodreamteam.com

Портал профессионалов кардиологии
Текущее время: 30 дек 2025, 09:08

Часовой пояс: UTC + 6 часов




Начать новую тему Ответить на тему  [ 1 сообщение ] 
Автор Сообщение
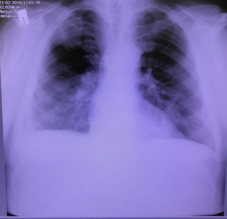
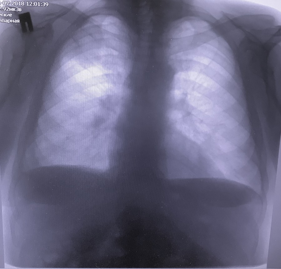
 Заголовок сообщения: Периферическое образование
СообщениеДобавлено: 26 май 2018, 17:09 
Не в сети
Site Admin
Аватар пользователя

Зарегистрирован: 24 мар 2005, 22:44
Сообщений: 26576
Обсуждалось здесь https://vk.com/club84409679?w=wall-84409679_7933%2Fall


Вложения:
1.jpg
1.jpg [ 135.84 KiB | Просмотров: 33041 ]
2.jpg
2.jpg [ 189.9 KiB | Просмотров: 33041 ]
3.jpg
3.jpg [ 181.29 KiB | Просмотров: 33041 ]
4.jpg
4.jpg [ 64.5 KiB | Просмотров: 33041 ]

_________________
Я вас всех люблю, но порядок должен быть!
Вернуться наверх
 Профиль  
 
Показать сообщения за:  Сортировать по:  
Начать новую тему Ответить на тему  [ 1 сообщение ] 

Часовой пояс: UTC + 6 часов


Кто сейчас на форуме

Сейчас этот форум просматривают: нет зарегистрированных пользователей и гости: 8


Вы не можете начинать темы
Вы не можете отвечать на сообщения
Вы не можете редактировать свои сообщения
Вы не можете удалять свои сообщения
Вы не можете добавлять вложения

Найти:
Перейти:  
cron
Создано на основе phpBB® Forum Software © phpBB Group
Русская поддержка phpBB