cardiodreamteam.com

Портал профессионалов кардиологии
Текущее время: 13 янв 2026, 23:54

Часовой пояс: UTC + 6 часов




Начать новую тему Ответить на тему  [ Сообщений: 7 ] 
Автор Сообщение
 Заголовок сообщения: Что с животом?
СообщениеДобавлено: 04 сен 2012, 21:34 
Не в сети

Зарегистрирован: 04 сен 2012, 15:51
Сообщений: 23
Откуда: г. Ковров
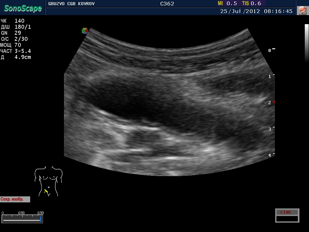
Пациент с жалобами на боли в животе...


Вложения:
jul252012081644.jpg
jul252012081644.jpg [ 202.73 KiB | Просмотров: 23988 ]
jul252012081000.jpg
jul252012081000.jpg [ 184.57 KiB | Просмотров: 23988 ]
jul252012081343.jpg
jul252012081343.jpg [ 178.24 KiB | Просмотров: 23988 ]
Вернуться наверх
 Профиль  
 
 Заголовок сообщения: Re: Что с животом?
СообщениеДобавлено: 04 сен 2012, 21:47 
Не в сети

Зарегистрирован: 04 сен 2012, 15:51
Сообщений: 23
Откуда: г. Ковров
полечили два дня в гастроэнтерологии...состояние ухудшилось, узи контроль----->


Вложения:
jul272012130522.jpg
jul272012130522.jpg [ 208.4 KiB | Просмотров: 23984 ]
jul272012130434.jpg
jul272012130434.jpg [ 197.15 KiB | Просмотров: 23984 ]
Вернуться наверх
 Профиль  
 
 Заголовок сообщения: Re: Что с животом?
СообщениеДобавлено: 12 сен 2012, 11:23 
Не в сети
Корифей
Корифей
Аватар пользователя

Зарегистрирован: 16 сен 2007, 23:44
Сообщений: 2847
Откуда: Новосибирск.Клиника ГУ НИИ физиологии СО РАМН
Что это такое? Кишка?

_________________
zoom,zoom,zoom.


Вернуться наверх
 Профиль  
 
 Заголовок сообщения: Re: Что с животом?
СообщениеДобавлено: 12 сен 2012, 21:11 
Не в сети

Зарегистрирован: 04 сен 2012, 15:51
Сообщений: 23
Откуда: г. Ковров
ну, скажем так, часть кишечника :D


Вернуться наверх
 Профиль  
 
 Заголовок сообщения: Re: Что с животом?
СообщениеДобавлено: 13 сен 2012, 06:36 
Не в сети
Корифей
Корифей
Аватар пользователя

Зарегистрирован: 16 сен 2007, 23:44
Сообщений: 2847
Откуда: Новосибирск.Клиника ГУ НИИ физиологии СО РАМН
А поподробнее :roll:

_________________
zoom,zoom,zoom.


Вернуться наверх
 Профиль  
 
 Заголовок сообщения: Re: Что с животом?
СообщениеДобавлено: 13 сен 2012, 21:39 
Не в сети

Зарегистрирован: 04 сен 2012, 15:51
Сообщений: 23
Откуда: г. Ковров
поподробнее? :shock: бодимаркер находится в правой подвсздошной области, я бы подумал про аппендикс 8-)


Вернуться наверх
 Профиль  
 
 Заголовок сообщения: Re: Что с животом?
СообщениеДобавлено: 14 сен 2012, 07:25 
Не в сети
Корифей
Корифей
Аватар пользователя

Зарегистрирован: 16 сен 2007, 23:44
Сообщений: 2847
Откуда: Новосибирск.Клиника ГУ НИИ физиологии СО РАМН
Спасибо. Понятно.

_________________
zoom,zoom,zoom.


Вернуться наверх
 Профиль  
 
Показать сообщения за:  Сортировать по:  
Начать новую тему Ответить на тему  [ Сообщений: 7 ] 

Часовой пояс: UTC + 6 часов


Кто сейчас на форуме

Сейчас этот форум просматривают: нет зарегистрированных пользователей и гости: 0


Вы не можете начинать темы
Вы не можете отвечать на сообщения
Вы не можете редактировать свои сообщения
Вы не можете удалять свои сообщения
Вы не можете добавлять вложения

Найти:
Перейти:  
cron
Создано на основе phpBB® Forum Software © phpBB Group
Русская поддержка phpBB